牙齿美容修复技术让越来越多追求完美的人拥有了整齐洁白的牙齿,但问题也接踵而来。因有些患者选用的牙齿美容修复材质不理想,或选择了非正规牙科机构做烤瓷牙,导致烤瓷牙美容修复后影响咀嚼功能、牙冠固位不稳、牙龈发炎、牙龈出现黑线、 烤瓷牙脱落、崩瓷、色泽不佳等症状。查看德伦口腔更多烤瓷牙失败修复案例>>>
烤瓷牙出现这几种情况,一定要拆!
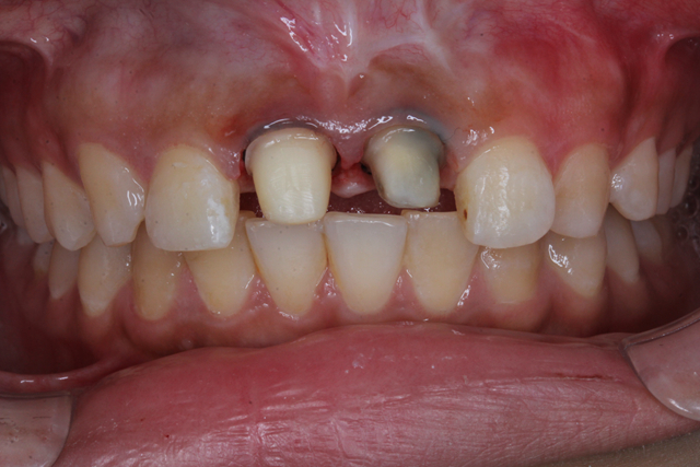
1、牙龈黑线
这种也是佩戴劣质烤瓷牙后常出现的情况,因其价格低廉备受欢迎,但是在长期的佩戴过程中会出现牙龈发黑的现象,这是因为非贵金属烤瓷牙在口腔内氧化成灰色氧化物,时间久了沉淀于牙龈,造成牙龈黑线,若不及时拆除,很可能会出现牙龈炎、牙周炎甚至牙齿脱落。
2、引起真牙蛀牙
如果医生备牙不合格,牙齿模型不精致,烤瓷牙加工厂技术不到位,佩戴后出现边缘不密合的情况,会给细菌提供有利条件,这些细菌进入牙冠里面但是又出不来,眼看着牙齿慢慢烂完,在这种情况下,必须拆。
3、未治疗好牙周疾病的情况下
一些牙医和患者在做烤瓷牙的时候急于求成,对牙龈牙周没有做一个详细的评估,比如本身有牙龈炎症,牙龈红肿、萎缩等,在没有治疗的情况下安装烤瓷牙导致一系列问题的应该尽快拆除。
4、烤瓷牙崩瓷
崩了会怎么样?崩瓷边缘较尖锐,会造成舌头,唇部粘膜创伤,而且崩瓷后金属外露,在长时间的食物摩擦及唾液的作用下发生化学反应,那就一个字,拆!
5、牙体预备失败
劣质的烤瓷牙:边缘密合性差;与人体的生物相容性差,部分患者配戴一段时间后颈缘处的牙龈组织会出现“黑线”,甚至还有此类烤瓷牙引发过敏反应的病历报道,临床上较容易出现崩瓷现象。
烤瓷牙如使用3—5年便开始出现各种症状,如崩瓷、失真透光、色泽欠佳、脱落、咀嚼无力、牙龈出血、牙龈变色、牙周病变等。以上各种情况均属于烤瓷牙失败,其中牙冠边缘出现黑线是非常常见的情况,对于这种情况,应尽早修复,避免二次伤害。
烤瓷牙失败了该怎么办?
烤瓷牙失败了,一般只能修复重做,有以下方式可以修复或重做。
全瓷牙相对于烤瓷牙来说是一种更好的修复方式,全瓷牙的外观和性能上更优于烤瓷牙,其内冠为瓷材料,比烤瓷牙更加自然美观,同时降低过敏问题产生风险。
二、改用种植牙
种植牙是目前较为主流的牙齿修复方式,其性能优越于烤瓷牙。种植牙坚固耐用,同时不需要进行磨牙,其外观也与真牙接近,若做好日常保养,使用寿命很长。查看缺牙修复方式有哪些?>>>

种植牙是接近天然牙的缺牙修复方法。科学技术的发达,使得种植技术越来越成熟,越来越舒适,更加符合患者对种植牙的要求。
德伦口腔于2014年就成立了数字化设计中心,引进一站式数字化全程导板种植技术,德伦口腔自主研发的数字化导板输出已达数万例,数量是全国各类种植系统导板输出总使用量的十倍,为缺牙患者带来舒适准确的种牙体验。
德伦口腔于2021年引进口腔种植机器人,通过专家与机器人相结合操作,AI手术前规划,把设计好的种植体位置轴向深度的指令输入到机器人大脑,光学跟踪定位,减少误差,具有随动功能,可根据患者微动调整,硕博专家联合操作,实现数智种植。查看德伦口腔数智种植牙案例>>>
如果您还有其它问题,可以在线咨德伦口腔专家为您解答相关口腔问题,您也可以拨打全国热线电话 020-83782905 咨询,德伦口腔专家会竭尽所能的帮助您。