烤瓷牙失败了怎么办?及时补救是关键!
发表于:2023-03-07 来源:德伦口腔 编辑:徐编 点击:次
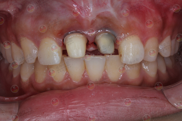
烤瓷牙,是恢复牙齿缺损及达到功能和美观要求的修复牙冠。但烤瓷牙是有一定使用年限的,同时,若进行烤瓷牙的机构不正规,医生技术不过关,材料不良的各种因素,都将会直接影响烤瓷牙的使用寿命。查看德伦口腔更多烤瓷牙失败修复案例>>>

烤瓷牙失败会有哪些危害呢?



德伦口腔于2021年引进口腔种植机器人,通过专家与机器人相结合操作,AI手术前规划,把设计好的种植体位置轴向深度的指令输入到机器人大脑,光学跟踪定位,减少误差,具有随动功能,可根据患者微动调整,硕博专家联合操作,实现数智种植。查看德伦口腔数智种植牙案例>>>
烤瓷牙,是恢复牙齿缺损及达到功能和美观要求的修复牙冠。但烤瓷牙是有一定使用年限的,同时,若进行烤瓷牙的机构不正规,医生技术不过关,材料不良的各种因素,都将会直接影响烤瓷牙的使用寿命。查看德伦口腔更多烤瓷牙失败修复案例>>>

烤瓷牙失败会有哪些危害呢?



德伦口腔于2021年引进口腔种植机器人,通过专家与机器人相结合操作,AI手术前规划,把设计好的种植体位置轴向深度的指令输入到机器人大脑,光学跟踪定位,减少误差,具有随动功能,可根据患者微动调整,硕博专家联合操作,实现数智种植。查看德伦口腔数智种植牙案例>>>
牙齿问题在线咨询
020-8378 2905
网上自助挂号
患者
须知
贯彻国家卫生部新医改政策,严格落实解决挂号难、看病难问题,开展网络自助预约挂号服务。

口腔连锁品牌