微信微博手机网站

德伦logo

连锁绽放

来院路线

  • 德伦首页|
  • 品牌文化|
  • 牙齿矫正|
  • 牙齿种植|
  • 牙齿修复|
  • 口腔内科|
  • 口腔外科|
  • 儿童齿科|
  • 专家团队|
  • 在线预约

您的位置: > 口腔正畸中心 > 牙间隙 >

牙齿缝隙越来越大是怎么回事?

发表于:2023-09-17 来源:德伦口腔 编辑:徐编 点击:次

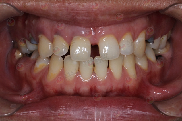
牙缝也叫牙间隙,是牙与牙之间的自然缝隙。正常情况,牙缝是由牙龈组织填满的,但如果发生了以下情况,那么牙缝可能会变得越来越大。
 
 
01、先天性因素
 
有的人可能天生就是牙缝大,这和遗传有关,比如牙缝过宽、牙齿过小、牙列不齐等,都会导致经常塞牙的状况。
 
 
02、邻面龋
 
邻面龋就是在牙齿邻面的位置发生了蛀牙,蛀牙后牙体出现缺损,牙间隙便会变大。
 
 
如果邻面龋没有及时进行修补,那么进食时食物就很容易嵌塞在牙缝中,牙缝也会变得越来越大。
 
03、长期缺牙
 
有些人因为这样或那样的原因缺牙了,但为了省钱或嫌麻烦,一直没有对缺牙部位进行修复,所以很容易造成相邻的牙齿移动倾斜。
 
原本整齐排列的牙齿,在日复一日的移动中发生了倾斜,牙缝也因此变得越来越大。
 
04、牙周炎
 
通常牙周病患者都会出现牙龈萎缩、牙槽骨吸收等情况,尤其是在牙菌斑、牙结石的不断刺激下,牙根还会松动和移位。

 
随着牙龈不断萎缩、牙根日益松动,牙齿之间的缝隙自然也就越来越宽了。
 
05、楔状缺损
 
经常用蛮力横向刷牙,会导致牙颈部出现“V”状缺损。如果不改正刷牙的方式,楔状缺损就可能会越来越大,牙缝也会越来越宽。
 
牙缝大的危害还是比较多的,如果不及时治疗,随着年龄的增长,牙缝只会越来越大,不仅会损伤牙龈,还会导致经常食物嵌塞,甚至引起牙齿松动等症状。
 
 
牙齿缝隙大该如何处理?
 
01、牙齿矫正
 
牙齿矫正可以很好地帮助牙齿收缝,让牙齿变得更加整齐健康。通常牙齿矫正有以下三种选择:
 
传统金属托槽矫治器:
 
是目前应用较为广泛的一种矫治器,其托槽和弓丝都是金属的,矫正效果好,性价比高,坚固耐用。缺点是美观性差且不利于清洁。


 
无托槽隐形矫治器:
 
由弹性透明的高分子材料制成,是爱美人士的首要选择,不仅更美观,而且更舒适,清洁牙齿也更方便。
 

 
陶瓷托槽矫治器:
 
硬度高、强度高、耐磨性好、不易变形,而且美观性佳,也是牙齿矫正的不错之选。
 
 
02、贴面修复
 
贴面修复可以使用粘结剂,将树脂贴面或瓷贴面粘接在牙齿表面,能够修复牙齿,并且还可以改善牙缝大问题。
 
 
03、牙冠修复
 
牙缝大可以在专业医生的帮助下将牙体适当磨小,然后戴牙冠修复,从而解决牙缝大情况。
 
此外,想要预防牙缝变大,在平时应该养成良好的口腔卫生习惯,饭后勤漱口,用牙线或冲牙器代替牙签,从而更好地清除牙缝中的食物残渣。
 
建议半年到一年洗一次牙,减少牙结石的堆积,避免刺激牙龈后造成牙龈萎缩,导致牙缝变大。
 
 
如果你也有牙缝越来越大的问题,建议到正规的口腔医院进行检查和修复哦~

如果您还有其它问题,可以在线咨询德伦口腔专家为您解答相关口腔问题,您也可以拨打全国热线电话 020-83782905 咨询,德伦口腔专家会竭尽所能的帮助您。在线咨询德伦口腔专家>>>

热点推荐

Recommended

• 牙齿缝隙越来越大是怎么回事?
• 已经增大的牙缝,还能回去吗?
• 牙缝过大该怎么处理?
• 牙缝大是怎么回事?该怎么修复?
• 牙齿稀疏可能是病,得治!
• 牙齿稀疏,你可以这样解决...
• 牙齿稀疏也是“病”,有什么方法
• 怎么解决门牙缝隙过大?
  • 上一篇:已经增大的牙缝,还能回去吗?
  • 下一篇:没有了
返回列表

分享至

  • 关于德伦|
  • 院点导航|
  • 人才招聘|
  • 坐车路线|
  • 网站地图|
  • 联系我们|
  • 隐私声明
  • 德伦口腔诊疗项目
  • 数智种植牙
  • 无牙颌舒适种植
  • 数字化牙齿矫正
  • 数字化隐形矫正
  • 舌侧隐形矫正
  • 瓷玉雕美牙贴面
  • 牙齿美容修复
  • 显微根管治疗
  • 牙周综合治疗
  • 微创智齿拔除
  • 微创舒适拔牙

广州东风总院(医保定点单位)    电话:020-83782905
地址:广州市越秀区东风中路418号华以泰国际大厦4、17、18、19、22楼(正骨医院对面)

[粤卫网审字(2011)第83号] 粤ICP备11073526号
医疗广告审查证明文号:粤(A)广(2024)第1332号
本网站信息仅供参考,不能作为诊疗及医疗依据
广州市德伦口腔门诊部有限公司 版权所有

关注德伦口腔官方微信
  • 德伦首页
  • 德伦品牌
  • 牙科项目
  • 专家团队
  • 儿童口腔
  • 爱牙工程
  • 德伦环境
  • 分院导航

您的位置: > 口腔正畸中心 > 牙间隙 >

牙齿缝隙越来越大是怎么回事?
2023-09-17 17:40来源:德伦口腔点击:次
牙缝也叫牙间隙,是牙与牙之间的自然缝隙。正常情况,牙缝是由牙龈组织填满的,但如果发生了以下情况,那么牙缝可能会变得越来越大。
 
 
01、先天性因素
 
有的人可能天生就是牙缝大,这和遗传有关,比如牙缝过宽、牙齿过小、牙列不齐等,都会导致经常塞牙的状况。
 
 
02、邻面龋
 
邻面龋就是在牙齿邻面的位置发生了蛀牙,蛀牙后牙体出现缺损,牙间隙便会变大。
 
 
如果邻面龋没有及时进行修补,那么进食时食物就很容易嵌塞在牙缝中,牙缝也会变得越来越大。
 
03、长期缺牙
 
有些人因为这样或那样的原因缺牙了,但为了省钱或嫌麻烦,一直没有对缺牙部位进行修复,所以很容易造成相邻的牙齿移动倾斜。
 
原本整齐排列的牙齿,在日复一日的移动中发生了倾斜,牙缝也因此变得越来越大。
 
04、牙周炎
 
通常牙周病患者都会出现牙龈萎缩、牙槽骨吸收等情况,尤其是在牙菌斑、牙结石的不断刺激下,牙根还会松动和移位。

 
随着牙龈不断萎缩、牙根日益松动,牙齿之间的缝隙自然也就越来越宽了。
 
05、楔状缺损
 
经常用蛮力横向刷牙,会导致牙颈部出现“V”状缺损。如果不改正刷牙的方式,楔状缺损就可能会越来越大,牙缝也会越来越宽。
 
牙缝大的危害还是比较多的,如果不及时治疗,随着年龄的增长,牙缝只会越来越大,不仅会损伤牙龈,还会导致经常食物嵌塞,甚至引起牙齿松动等症状。
 
 
牙齿缝隙大该如何处理?
 
01、牙齿矫正
 
牙齿矫正可以很好地帮助牙齿收缝,让牙齿变得更加整齐健康。通常牙齿矫正有以下三种选择:
 
传统金属托槽矫治器:
 
是目前应用较为广泛的一种矫治器,其托槽和弓丝都是金属的,矫正效果好,性价比高,坚固耐用。缺点是美观性差且不利于清洁。


 
无托槽隐形矫治器:
 
由弹性透明的高分子材料制成,是爱美人士的首要选择,不仅更美观,而且更舒适,清洁牙齿也更方便。
 

 
陶瓷托槽矫治器:
 
硬度高、强度高、耐磨性好、不易变形,而且美观性佳,也是牙齿矫正的不错之选。
 
 
02、贴面修复
 
贴面修复可以使用粘结剂,将树脂贴面或瓷贴面粘接在牙齿表面,能够修复牙齿,并且还可以改善牙缝大问题。
 
 
03、牙冠修复
 
牙缝大可以在专业医生的帮助下将牙体适当磨小,然后戴牙冠修复,从而解决牙缝大情况。
 
此外,想要预防牙缝变大,在平时应该养成良好的口腔卫生习惯,饭后勤漱口,用牙线或冲牙器代替牙签,从而更好地清除牙缝中的食物残渣。
 
建议半年到一年洗一次牙,减少牙结石的堆积,避免刺激牙龈后造成牙龈萎缩,导致牙缝变大。
 
 
如果你也有牙缝越来越大的问题,建议到正规的口腔医院进行检查和修复哦~

如果您还有其它问题,可以在线咨询德伦口腔专家为您解答相关口腔问题,您也可以拨打全国热线电话 020-83782905 咨询,德伦口腔专家会竭尽所能的帮助您。在线咨询德伦口腔专家>>>
牙齿问题在线咨询 020-8378 2905

网上自助挂号

患者
须知

贯彻国家卫生部新医改政策,严格落实解决挂号难、看病难问题,开展网络自助预约挂号服务。

选择科室*

  • 种植科
  • 正畸科
  • 综合牙科
  • 儿童齿科

选择年龄*

  • 18岁以下
  • 18-30岁
  • 30-50岁
  • 50岁以上

口腔连锁品牌

  • 首页
  • 项目
  • 顶部

专家预约热线:020-8378 2905
本网站信息仅供参考,不能作为诊疗及医疗依据
广州德伦口腔 粤ICP备11073526号