微信微博手机网站

德伦logo

连锁绽放

来院路线

  • 德伦首页|
  • 品牌文化|
  • 牙齿矫正|
  • 牙齿种植|
  • 牙齿修复|
  • 口腔内科|
  • 口腔外科|
  • 儿童齿科|
  • 专家团队|
  • 在线预约

您的位置: > 口腔正畸中心 > 牙间隙 >

牙齿稀疏可能是病,得治!

发表于:2023-02-27 来源:德伦口腔 编辑:刘编 点击:次

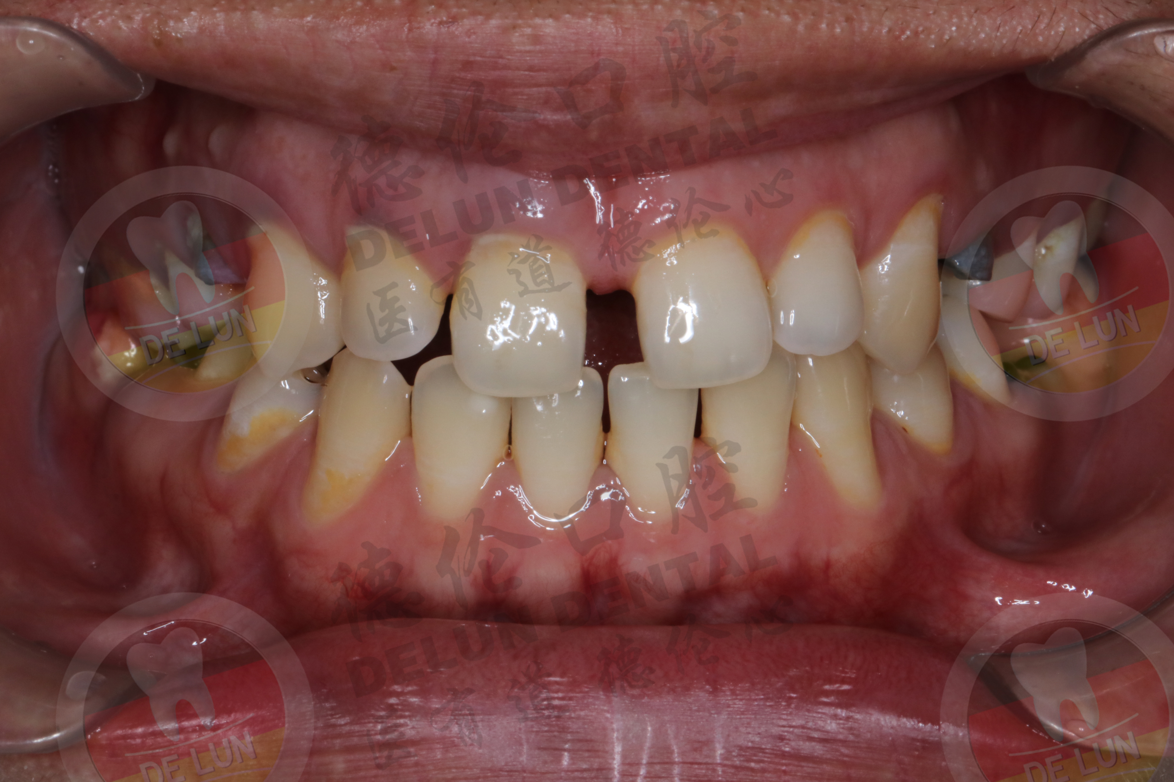
现代人多多少少都会存在牙齿问题,其中牙齿稀疏是日常生活中十分常见的牙齿问题。牙齿稀疏不仅使人在说话的时候漏风,还会严重影响个人的形象。那么,牙齿稀疏是什么原因造成的?牙齿稀疏怎么办?下面我们一起来了解一下。

 
造成牙齿稀疏的原因?

牙齿稀疏可以分为先天发育性原因和病理性原因,先天发育性牙齿稀疏是牙齿本身太小,不能排满牙弓,导致出现牙缝。而病理性牙齿稀疏一般都是由牙周病造成,牙槽骨吸收,牙龈萎缩等,出现牙缝。

查看更多德伦口腔牙齿稀疏真实案例>>>
 
在生活中,十个人里面可能有八个人都存在着牙齿稀疏的问题,而大部分有牙齿稀疏问题的人都是门牙中间有缝这种情况。大家都知道,门牙就像口腔的门户,不管是说话还是大笑,门牙的“曝光率”都是非常高的。可是,门牙中间有缝却让我们倍感尴尬。那么,牙齿稀疏我们该怎么办呢?
 
1.牙龈发育不良导致的牙齿稀疏,牙齿都是需要依靠牙龈生长,如果牙龈出现了营养不良的情况就很容易导致牙齿发育不良。这种情况是属于生理性原因造成的牙齿稀疏,我们可以通过正畸来使牙齿慢慢移动到正常整齐的位置来缩小牙缝。
 
2.牙龈萎缩引起牙齿稀疏,一旦我们的牙龈组织出现发炎的情况,牙龈就会不断地萎缩,而牙龈萎缩的同时牙缝也会变得越来越大,这种情况可以通过洗牙和局部上药改善症状。

不知道你适合采取哪种治疗方法?数字化拍片检查,立即抢购>>>
 
德伦口腔正畸中心在多年“美学正畸”的实践基础上,全面实现了以面型为导向的正畸治疗,并由此衍生出德伦特色的塑颜正脸技术,在注重牙齿基本排齐的前提下,建立良好牙齿功能及稳定的矫治效果,进行面型的改善,帮助牙齿拥挤患者实现变美、变健康的目的,注重咬合功能协调,塑造颜值美观靓丽。


查看更多德伦口腔牙齿稀疏治疗案例>>>

 
以上就是牙列稀疏治疗的相关介绍,如果您还有其它疑问,可以在线咨询德伦口腔专家为您解答相关口腔问题,您也可以拨打全国热线电话 020-83782905 咨询,德伦口腔专家会竭尽所能的帮助您。

热点推荐

Recommended

• 牙齿缝隙越来越大是怎么回事?
• 已经增大的牙缝,还能回去吗?
• 牙缝过大该怎么处理?
• 牙缝大是怎么回事?该怎么修复?
• 牙齿稀疏可能是病,得治!
• 牙齿稀疏,你可以这样解决...
• 牙齿稀疏也是“病”,有什么方法
• 怎么解决门牙缝隙过大?
  • 上一篇:牙齿稀疏,你可以这样解决...
  • 下一篇:牙缝大是怎么回事?该怎么修复?
返回列表

分享至

  • 关于德伦|
  • 院点导航|
  • 人才招聘|
  • 坐车路线|
  • 网站地图|
  • 联系我们|
  • 隐私声明
  • 德伦口腔诊疗项目
  • 数智种植牙
  • 无牙颌舒适种植
  • 数字化牙齿矫正
  • 数字化隐形矫正
  • 舌侧隐形矫正
  • 瓷玉雕美牙贴面
  • 牙齿美容修复
  • 显微根管治疗
  • 牙周综合治疗
  • 微创智齿拔除
  • 微创舒适拔牙

广州东风总院(医保定点单位)    电话:020-83782905
地址:广州市越秀区东风中路418号华以泰国际大厦4、17、18、19、22楼(正骨医院对面)

[粤卫网审字(2011)第83号] 粤ICP备11073526号
医疗广告审查证明文号:粤(A)广(2024)第1332号
本网站信息仅供参考,不能作为诊疗及医疗依据
广州市德伦口腔门诊部有限公司 版权所有

关注德伦口腔官方微信
  • 德伦首页
  • 德伦品牌
  • 牙科项目
  • 专家团队
  • 儿童口腔
  • 爱牙工程
  • 德伦环境
  • 分院导航

您的位置: > 口腔正畸中心 > 牙间隙 >

牙齿稀疏可能是病,得治!
2023-02-27 10:25来源:德伦口腔点击:次
现代人多多少少都会存在牙齿问题,其中牙齿稀疏是日常生活中十分常见的牙齿问题。牙齿稀疏不仅使人在说话的时候漏风,还会严重影响个人的形象。那么,牙齿稀疏是什么原因造成的?牙齿稀疏怎么办?下面我们一起来了解一下。

 
造成牙齿稀疏的原因?

牙齿稀疏可以分为先天发育性原因和病理性原因,先天发育性牙齿稀疏是牙齿本身太小,不能排满牙弓,导致出现牙缝。而病理性牙齿稀疏一般都是由牙周病造成,牙槽骨吸收,牙龈萎缩等,出现牙缝。

查看更多德伦口腔牙齿稀疏真实案例>>>
 
在生活中,十个人里面可能有八个人都存在着牙齿稀疏的问题,而大部分有牙齿稀疏问题的人都是门牙中间有缝这种情况。大家都知道,门牙就像口腔的门户,不管是说话还是大笑,门牙的“曝光率”都是非常高的。可是,门牙中间有缝却让我们倍感尴尬。那么,牙齿稀疏我们该怎么办呢?
 
1.牙龈发育不良导致的牙齿稀疏,牙齿都是需要依靠牙龈生长,如果牙龈出现了营养不良的情况就很容易导致牙齿发育不良。这种情况是属于生理性原因造成的牙齿稀疏,我们可以通过正畸来使牙齿慢慢移动到正常整齐的位置来缩小牙缝。
 
2.牙龈萎缩引起牙齿稀疏,一旦我们的牙龈组织出现发炎的情况,牙龈就会不断地萎缩,而牙龈萎缩的同时牙缝也会变得越来越大,这种情况可以通过洗牙和局部上药改善症状。

不知道你适合采取哪种治疗方法?数字化拍片检查,立即抢购>>>
 
德伦口腔正畸中心在多年“美学正畸”的实践基础上,全面实现了以面型为导向的正畸治疗,并由此衍生出德伦特色的塑颜正脸技术,在注重牙齿基本排齐的前提下,建立良好牙齿功能及稳定的矫治效果,进行面型的改善,帮助牙齿拥挤患者实现变美、变健康的目的,注重咬合功能协调,塑造颜值美观靓丽。


查看更多德伦口腔牙齿稀疏治疗案例>>>

 
以上就是牙列稀疏治疗的相关介绍,如果您还有其它疑问,可以在线咨询德伦口腔专家为您解答相关口腔问题,您也可以拨打全国热线电话 020-83782905 咨询,德伦口腔专家会竭尽所能的帮助您。
牙齿问题在线咨询 020-8378 2905

网上自助挂号

患者
须知

贯彻国家卫生部新医改政策,严格落实解决挂号难、看病难问题,开展网络自助预约挂号服务。

选择科室*

  • 种植科
  • 正畸科
  • 综合牙科
  • 儿童齿科

选择年龄*

  • 18岁以下
  • 18-30岁
  • 30-50岁
  • 50岁以上

口腔连锁品牌

  • 首页
  • 项目
  • 顶部

专家预约热线:020-8378 2905
本网站信息仅供参考,不能作为诊疗及医疗依据
广州德伦口腔 粤ICP备11073526号