微信微博手机网站

德伦logo

连锁绽放

来院路线

  • 德伦首页|
  • 品牌文化|
  • 牙齿矫正|
  • 牙齿种植|
  • 牙齿修复|
  • 口腔内科|
  • 口腔外科|
  • 儿童齿科|
  • 专家团队|
  • 在线预约

您的位置: > 口腔内科 > 牙周科 > 牙齿松动 >

重度牙周炎导致的牙齿松动应该怎么治疗?

发表于:2023-10-10 来源:德伦口腔 编辑:徐编 点击:次

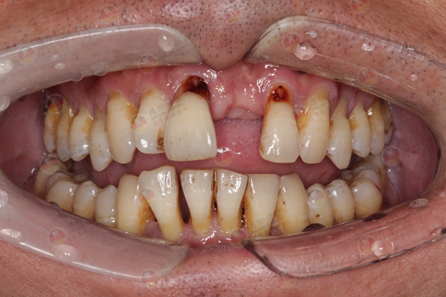
你刷牙时会不会经常出血?牙龈长期都是红肿疼痛?轻轻摇动牙齿还发现有明显的松动?有这些症状的朋友请注意了,可能是患有牙周炎。


 
调查显示中国全人群牙周健康率仅为14%,因为牙周炎发展进程缓慢,不容易被发现,所以很多人根本意识不到自己的牙周并不健康。
 
什么是牙周病?
 
牙周病是由口腔菌斑长期存在刺激引起的。由局部因素引起的牙周支持组织的慢性炎症,经牙龈扩散到牙周膜、牙槽骨和牙骨质,导致牙周袋形成、牙槽骨吸收,当症状较严重时,牙齿会松动脱落,无法保留。


 
重度牙周炎有什么症状? 
 
01、牙周脓肿
当患者没有做好口腔的清洁卫生,容易导致细菌入侵引起感染,长时间受到炎症刺激也会引起牙周脓肿症状发生。


 
02、牙齿松动
当患者出现重度牙周炎疾病,细菌感染会造成牙槽骨出现破坏,从而引起牙齿松动的症状发生。


 
03、牙龈萎缩
当患者出现了牙周炎疾病,容易对牙龈造成刺激,会导致牙龈逐渐开始出现萎缩,引起牙龈萎缩的症状发生。


 
04、牙齿移位
牙齿发生明显的变动是牙周炎的晚期症状,说明牙根周围的支持组织已丧失到严重的程度。
 
05、牙齿脱落
牙周疾病的过程是一个骨肉分离的过程,当牙根与牙床间的联系完全被割断后,则牙齿就会自动脱落。


 
牙周炎导致的牙齿松动牙该如何治疗?
 
牙齿已经开始松动,说明牙周炎症已经很严重了。如果任由其发展,牙齿就会有脱落的风险,所以一定要尽早找医生进行治疗。
 
在治疗之前,医生会先安排拍X光片,根据牙槽骨的吸收程度,牙齿的松动程度给出相应的治疗方案。


 
01、轻度牙齿松动
 
如果是轻度的松动,只需要进行洗牙和龈下刮治,将牙龈上方和牙周袋里面的菌斑、牙结石和炎性组织清除干净,并采取消炎杀菌措施,炎症消退后,牙龈组织会重新附着牙根面生长,牙齿就会恢复稳定。牙周炎很容易复发,后期一定要做好按时复查。
 
 
需要注意的是,龈下刮治术目前常采用的方法是用专用器械由医生进行手工刮治,对技术的要求较高,需要找专业的医生进行操作。
 
02、中度牙齿松动
 
如果是中度的松动,在洗牙和牙周刮治后,还需要进行牙周夹板固定。
 
将两颗或多颗因牙周炎松动的患牙连接在一起,固定在另外牢固的健康牙上,使之成为一个新的咀嚼单位,提高患者的咀嚼功能。


 
03、重度牙齿松动
 
如果是重度的松动,一般需要拔除,然后再进行牙齿种植等修复治疗。极少可以进行保留治疗,需要在牙周添加骨粉,起到固定牙齿的作用,但是预后较差。


 
除了牙周炎引起的牙齿松动,还有可能是外伤的因素,比如咬合创伤。多根牙可能松动不明显,建议由专业牙医诊断出有咬合创伤的牙齿,并有针对性调颌治疗。

如果您还有其它问题,可以在线咨询德伦口腔专家为您解答相关口腔问题,您也可以拨打全国热线电话 020-83782905 咨询,德伦口腔专家会竭尽所能的帮助您。在线咨询德伦口腔专家>>>

热点推荐

Recommended

• 有牙周病,怎么样才能种好牙?
• 重度牙周炎导致的牙齿松动应该怎
• 你知道吗?牙周病的尽头是全口牙
• 这个年轻人满口牙掉光了,真相竟
• 牙齿松动是怎么回事?
• 牙齿松动?有这些习惯的要特别注
• 牙周病——导致牙齿脱落的“幕后
• 牙齿脱落的罪魁祸首,竟然是它?
  • 上一篇:你知道吗?牙周病的尽头是全口牙掉光光!
  • 下一篇:有牙周病,怎么样才能种好牙?
返回列表

分享至

  • 关于德伦|
  • 院点导航|
  • 人才招聘|
  • 坐车路线|
  • 网站地图|
  • 联系我们|
  • 隐私声明
  • 德伦口腔诊疗项目
  • 数智种植牙
  • 无牙颌舒适种植
  • 数字化牙齿矫正
  • 数字化隐形矫正
  • 舌侧隐形矫正
  • 瓷玉雕美牙贴面
  • 牙齿美容修复
  • 显微根管治疗
  • 牙周综合治疗
  • 微创智齿拔除
  • 微创舒适拔牙

广州东风总院(医保定点单位)    电话:020-83782905
地址:广州市越秀区东风中路418号华以泰国际大厦4、17、18、19、22楼(正骨医院对面)

[粤卫网审字(2011)第83号] 粤ICP备11073526号
医疗广告审查证明文号:粤(A)广(2024)第1332号
本网站信息仅供参考,不能作为诊疗及医疗依据
广州市德伦口腔门诊部有限公司 版权所有

关注德伦口腔官方微信
  • 德伦首页
  • 德伦品牌
  • 牙科项目
  • 专家团队
  • 儿童口腔
  • 爱牙工程
  • 德伦环境
  • 分院导航

您的位置: > 口腔内科 > 牙周科 > 牙齿松动 >

重度牙周炎导致的牙齿松动应该怎么治疗?
2023-10-10 15:23来源:德伦口腔点击:次
你刷牙时会不会经常出血?牙龈长期都是红肿疼痛?轻轻摇动牙齿还发现有明显的松动?有这些症状的朋友请注意了,可能是患有牙周炎。


 
调查显示中国全人群牙周健康率仅为14%,因为牙周炎发展进程缓慢,不容易被发现,所以很多人根本意识不到自己的牙周并不健康。
 
什么是牙周病?
 
牙周病是由口腔菌斑长期存在刺激引起的。由局部因素引起的牙周支持组织的慢性炎症,经牙龈扩散到牙周膜、牙槽骨和牙骨质,导致牙周袋形成、牙槽骨吸收,当症状较严重时,牙齿会松动脱落,无法保留。


 
重度牙周炎有什么症状? 
 
01、牙周脓肿
当患者没有做好口腔的清洁卫生,容易导致细菌入侵引起感染,长时间受到炎症刺激也会引起牙周脓肿症状发生。


 
02、牙齿松动
当患者出现重度牙周炎疾病,细菌感染会造成牙槽骨出现破坏,从而引起牙齿松动的症状发生。


 
03、牙龈萎缩
当患者出现了牙周炎疾病,容易对牙龈造成刺激,会导致牙龈逐渐开始出现萎缩,引起牙龈萎缩的症状发生。


 
04、牙齿移位
牙齿发生明显的变动是牙周炎的晚期症状,说明牙根周围的支持组织已丧失到严重的程度。
 
05、牙齿脱落
牙周疾病的过程是一个骨肉分离的过程,当牙根与牙床间的联系完全被割断后,则牙齿就会自动脱落。


 
牙周炎导致的牙齿松动牙该如何治疗?
 
牙齿已经开始松动,说明牙周炎症已经很严重了。如果任由其发展,牙齿就会有脱落的风险,所以一定要尽早找医生进行治疗。
 
在治疗之前,医生会先安排拍X光片,根据牙槽骨的吸收程度,牙齿的松动程度给出相应的治疗方案。


 
01、轻度牙齿松动
 
如果是轻度的松动,只需要进行洗牙和龈下刮治,将牙龈上方和牙周袋里面的菌斑、牙结石和炎性组织清除干净,并采取消炎杀菌措施,炎症消退后,牙龈组织会重新附着牙根面生长,牙齿就会恢复稳定。牙周炎很容易复发,后期一定要做好按时复查。
 
 
需要注意的是,龈下刮治术目前常采用的方法是用专用器械由医生进行手工刮治,对技术的要求较高,需要找专业的医生进行操作。
 
02、中度牙齿松动
 
如果是中度的松动,在洗牙和牙周刮治后,还需要进行牙周夹板固定。
 
将两颗或多颗因牙周炎松动的患牙连接在一起,固定在另外牢固的健康牙上,使之成为一个新的咀嚼单位,提高患者的咀嚼功能。


 
03、重度牙齿松动
 
如果是重度的松动,一般需要拔除,然后再进行牙齿种植等修复治疗。极少可以进行保留治疗,需要在牙周添加骨粉,起到固定牙齿的作用,但是预后较差。


 
除了牙周炎引起的牙齿松动,还有可能是外伤的因素,比如咬合创伤。多根牙可能松动不明显,建议由专业牙医诊断出有咬合创伤的牙齿,并有针对性调颌治疗。

如果您还有其它问题,可以在线咨询德伦口腔专家为您解答相关口腔问题,您也可以拨打全国热线电话 020-83782905 咨询,德伦口腔专家会竭尽所能的帮助您。在线咨询德伦口腔专家>>>
牙齿问题在线咨询 020-8378 2905

网上自助挂号

患者
须知

贯彻国家卫生部新医改政策,严格落实解决挂号难、看病难问题,开展网络自助预约挂号服务。

选择科室*

  • 种植科
  • 正畸科
  • 综合牙科
  • 儿童齿科

选择年龄*

  • 18岁以下
  • 18-30岁
  • 30-50岁
  • 50岁以上

口腔连锁品牌

  • 首页
  • 项目
  • 顶部

专家预约热线:020-8378 2905
本网站信息仅供参考,不能作为诊疗及医疗依据
广州德伦口腔 粤ICP备11073526号