微信微博手机网站

德伦logo

连锁绽放

来院路线

  • 德伦首页|
  • 品牌文化|
  • 牙齿矫正|
  • 牙齿种植|
  • 牙齿修复|
  • 口腔内科|
  • 口腔外科|
  • 儿童齿科|
  • 专家团队|
  • 在线预约

您的位置: > 口腔内科 > 牙周科 > 牙齿松动 >

这个年轻人满口牙掉光了,真相竟是……

发表于:2023-11-04 来源:德伦口腔 编辑:徐编 点击:次

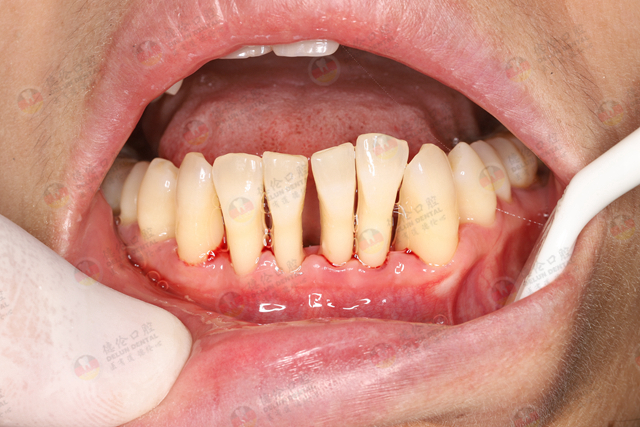
这是一位90后男孩的悲伤故事:因一颗门牙脱落,去口腔医院就诊时,被告知牙齿情况类似80岁的老爷爷,全口牙松动无法行使咀嚼功能,没有几颗可以无法保留的牙齿。
 
俗话说“老掉牙”,不是老了才可能掉牙吗?为何年纪轻轻的90后甚至00后也开始掉牙了?不是七八十岁的老人才会满口掉牙吗?这一切的背后,到底隐藏着怎样的真相呢?


 
年轻人掉牙为何越来越普遍?
 
缺牙出现年轻化的趋势,主要有以下3种原因:不良的用牙习惯、蛀牙、牙周病!
 
比如很多年轻人把牙齿当成开瓶器,喜欢用牙撕包装、咀嚼过硬的食物等等,都会给牙周组织带来损伤,致使牙齿移位或断裂。
 
蛀牙在年轻人中发病几率也很高。爱吃甜食、爱喝饮料、爱吃宵夜、不良口腔习惯等,让年轻人的龋齿越来越严重,导致牙冠破损,牙齿挨个掉光。


 
牙周病是掉牙的罪魁祸首
 
牙周病,是牙齿支持组织所发生的病变。一般牙周炎会造成牙龈的破坏、牙周袋形成和炎症,附着丧失和牙槽骨吸收,导致牙齿的丧失。
 
很多人不知道,龋齿只会坏掉一颗牙,而牙周病会导致一排牙齿脱落。


 
原因:菌斑、牙石、创伤性咬合、食物嵌塞、不良修复体、口呼吸以及全身因素如内分泌失调、长期服用某些药物等都会引发牙周病。
 
年轻人压力大、长期熬夜、不健康的饮食方式,以及不正确的口腔护理方式都是影响牙周健康的重要原因。
 
如何判断自己是否有牙周病?
 
01、牙龈出血;


 
02、持续性口腔异味;
 
03、牙缝越来越大;


 
04、牙齿松动、移位脱落。
 
预防牙周病有效发方法,就是定期前往专业口腔医院进行口腔检查,及时发现牙齿疾病,避免病情继续恶化,早发现,早治疗,才是保护牙齿的关键!

如果您还有其它问题,可以在线咨询德伦口腔专家为您解答相关口腔问题,您也可以拨打全国热线电话 020-83782905 咨询,德伦口腔专家会竭尽所能的帮助您。在线咨询德伦口腔专家>>>

热点推荐

Recommended

• 有牙周病,怎么样才能种好牙?
• 重度牙周炎导致的牙齿松动应该怎
• 你知道吗?牙周病的尽头是全口牙
• 这个年轻人满口牙掉光了,真相竟
• 牙齿松动是怎么回事?
• 牙齿松动?有这些习惯的要特别注
• 牙周病——导致牙齿脱落的“幕后
• 牙齿脱落的罪魁祸首,竟然是它?
  • 上一篇:牙齿松动是怎么回事?
  • 下一篇:你知道吗?牙周病的尽头是全口牙掉光光!
返回列表

分享至

  • 关于德伦|
  • 院点导航|
  • 人才招聘|
  • 坐车路线|
  • 网站地图|
  • 联系我们|
  • 隐私声明
  • 德伦口腔诊疗项目
  • 数智种植牙
  • 无牙颌舒适种植
  • 数字化牙齿矫正
  • 数字化隐形矫正
  • 舌侧隐形矫正
  • 瓷玉雕美牙贴面
  • 牙齿美容修复
  • 显微根管治疗
  • 牙周综合治疗
  • 微创智齿拔除
  • 微创舒适拔牙

广州东风总院(医保定点单位)    电话:020-83782905
地址:广州市越秀区东风中路418号华以泰国际大厦4、17、18、19、22楼(正骨医院对面)

[粤卫网审字(2011)第83号] 粤ICP备11073526号
医疗广告审查证明文号:粤(A)广(2024)第1332号
本网站信息仅供参考,不能作为诊疗及医疗依据
广州市德伦口腔门诊部有限公司 版权所有

关注德伦口腔官方微信
  • 德伦首页
  • 德伦品牌
  • 牙科项目
  • 专家团队
  • 儿童口腔
  • 爱牙工程
  • 德伦环境
  • 分院导航

您的位置: > 口腔内科 > 牙周科 > 牙齿松动 >

这个年轻人满口牙掉光了,真相竟是……
2023-11-04 09:47来源:德伦口腔点击:次
这是一位90后男孩的悲伤故事:因一颗门牙脱落,去口腔医院就诊时,被告知牙齿情况类似80岁的老爷爷,全口牙松动无法行使咀嚼功能,没有几颗可以无法保留的牙齿。
 
俗话说“老掉牙”,不是老了才可能掉牙吗?为何年纪轻轻的90后甚至00后也开始掉牙了?不是七八十岁的老人才会满口掉牙吗?这一切的背后,到底隐藏着怎样的真相呢?


 
年轻人掉牙为何越来越普遍?
 
缺牙出现年轻化的趋势,主要有以下3种原因:不良的用牙习惯、蛀牙、牙周病!
 
比如很多年轻人把牙齿当成开瓶器,喜欢用牙撕包装、咀嚼过硬的食物等等,都会给牙周组织带来损伤,致使牙齿移位或断裂。
 
蛀牙在年轻人中发病几率也很高。爱吃甜食、爱喝饮料、爱吃宵夜、不良口腔习惯等,让年轻人的龋齿越来越严重,导致牙冠破损,牙齿挨个掉光。


 
牙周病是掉牙的罪魁祸首
 
牙周病,是牙齿支持组织所发生的病变。一般牙周炎会造成牙龈的破坏、牙周袋形成和炎症,附着丧失和牙槽骨吸收,导致牙齿的丧失。
 
很多人不知道,龋齿只会坏掉一颗牙,而牙周病会导致一排牙齿脱落。


 
原因:菌斑、牙石、创伤性咬合、食物嵌塞、不良修复体、口呼吸以及全身因素如内分泌失调、长期服用某些药物等都会引发牙周病。
 
年轻人压力大、长期熬夜、不健康的饮食方式,以及不正确的口腔护理方式都是影响牙周健康的重要原因。
 
如何判断自己是否有牙周病?
 
01、牙龈出血;


 
02、持续性口腔异味;
 
03、牙缝越来越大;


 
04、牙齿松动、移位脱落。
 
预防牙周病有效发方法,就是定期前往专业口腔医院进行口腔检查,及时发现牙齿疾病,避免病情继续恶化,早发现,早治疗,才是保护牙齿的关键!

如果您还有其它问题,可以在线咨询德伦口腔专家为您解答相关口腔问题,您也可以拨打全国热线电话 020-83782905 咨询,德伦口腔专家会竭尽所能的帮助您。在线咨询德伦口腔专家>>>
牙齿问题在线咨询 020-8378 2905

网上自助挂号

患者
须知

贯彻国家卫生部新医改政策,严格落实解决挂号难、看病难问题,开展网络自助预约挂号服务。

选择科室*

  • 种植科
  • 正畸科
  • 综合牙科
  • 儿童齿科

选择年龄*

  • 18岁以下
  • 18-30岁
  • 30-50岁
  • 50岁以上

口腔连锁品牌

  • 首页
  • 项目
  • 顶部

专家预约热线:020-8378 2905
本网站信息仅供参考,不能作为诊疗及医疗依据
广州德伦口腔 粤ICP备11073526号