微信微博手机网站

德伦logo

连锁绽放

来院路线

  • 德伦首页|
  • 品牌文化|
  • 牙齿矫正|
  • 牙齿种植|
  • 牙齿修复|
  • 口腔内科|
  • 口腔外科|
  • 儿童齿科|
  • 专家团队|
  • 在线预约

您的位置: > 口腔内科 > 牙周科 > 牙龈萎缩 >

为什么年纪轻轻就开始掉牙了?

发表于:2023-09-26 来源:德伦口腔 编辑:徐编 点击:次

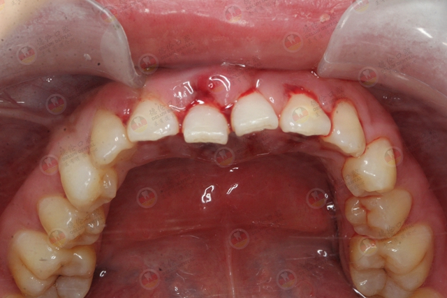
俗话说,老掉牙,老掉牙,好像都是老了才可能掉光牙啊?怎么年纪轻轻的90后也开始掉牙了呢?一掉还是半口牙?
 
 
看着风雨飘摇的牙齿,不禁让人陷入了沉思,这一切的背后,到底隐藏了怎么不为人知的秘密?今天小德就为大家揭示这一切的罪魁祸首,它就是牙周病!
 
 
什么是牙周病?
 
牙周病,是牙齿支持组织所发生的病变。它是引起成年人牙齿丧失的主要原因之一,也是危害人类牙齿和全身健康的主要口腔疾病。
 
牙周病往往是从刷牙流血、口腔异味开始,逐渐发展到牙齿松动,这中间需要十多年。年纪越小,激素水平越高,流血会比较严重,随着年龄增长,到了二三十岁之后,流血的频率反而会减弱。
 

 
“如果出现过一次以上刷牙流血的经历,建议及时就医。即便口腔没有任何问题,也建议定期给牙齿做个‘体检’。还有,定期洗牙也能够有效预防牙周炎。” 有些号称可以消炎的牙膏不建议使用,这些牙膏只具备止血功能,反而掩盖疾病。
 
牙周病的危害有哪些?
 
刚刚出现的是牙周病的前身:牙龈炎,它的到来意味着我们会时不时牙龈出血,慢慢地牙龈会出现轻微的红肿。
 

 
而发展成牙周病后,带来的就不是简简单单的牙龈出血了。随后,长期的牙龈红肿,出血,牙龈萎缩,牙槽骨吸收,牙龈溢脓,牙齿松动,然后就是完好无缺的牙齿,却慢慢脱落了。
 
如何预防和治疗牙周炎?
 
预防牙周病是预防口腔疾病的一个重要部分,那么,在日常生活中,我们应该怎样预防牙周病呢?
 
1、有效刷牙,定期做口腔洁治:坚持饭后、正确刷牙,建议每年接受1---2次专业的全口洁治,由专业牙医帮您清除牙齿上的菌斑和结石,令牙周组织健康,防治牙周病,同时,给牙齿做“体检”,如发现问题尽早处理。
 
 
2、问题牙齿需尽早修复或拔除:已经无可挽救的牙齿要尽早拔掉,不良修复体和残根残冠要及时拆除,免除后患。

 
3、缺失的牙齿尽早修复:避免长时间缺失牙引起的牙床变化,造成邻牙松动、歪斜。
 
 
4、良好的生活习惯,正确的口腔健康预防意识,能够有效预防或防止牙周病。
 
5、养成健康的饮食习惯,注意饮食结构要营养均衡。
 
只有平时养成良好的口腔卫生习惯,才能有效地防治口腔疾病的发生。

如果您还有其它问题,可以在线咨询德伦口腔专家为您解答相关口腔问题,您也可以拨打全国热线电话 020-83782905 咨询,德伦口腔专家会竭尽所能的帮助您。在线咨询德伦口腔专家>>>

热点推荐

Recommended

• 成年后,牙齿越长越“长”?警惕
• 牙齿越长越长是怎么回事?
• 90%成年人患有牙周病,你的牙齿
• 为什么年纪轻轻就开始掉牙了?
• 牙齿为什么越来越长了?
• 牙龈萎缩了,还能做种植牙吗?
• 当牙齿出现“黑三角”怎么办?可
• 我的牙龈萎缩了,能再恢复吗?
  • 上一篇:牙齿为什么越来越长了?
  • 下一篇:90%成年人患有牙周病,你的牙齿真的健康吗?
返回列表

分享至

  • 关于德伦|
  • 院点导航|
  • 人才招聘|
  • 坐车路线|
  • 网站地图|
  • 联系我们|
  • 隐私声明
  • 德伦口腔诊疗项目
  • 数智种植牙
  • 无牙颌舒适种植
  • 数字化牙齿矫正
  • 数字化隐形矫正
  • 舌侧隐形矫正
  • 瓷玉雕美牙贴面
  • 牙齿美容修复
  • 显微根管治疗
  • 牙周综合治疗
  • 微创智齿拔除
  • 微创舒适拔牙

广州东风总院(医保定点单位)    电话:020-83782905
地址:广州市越秀区东风中路418号华以泰国际大厦4、17、18、19、22楼(正骨医院对面)

[粤卫网审字(2011)第83号] 粤ICP备11073526号
医疗广告审查证明文号:粤(A)广(2024)第1332号
本网站信息仅供参考,不能作为诊疗及医疗依据
广州市德伦口腔门诊部有限公司 版权所有

关注德伦口腔官方微信
  • 德伦首页
  • 德伦品牌
  • 牙科项目
  • 专家团队
  • 儿童口腔
  • 爱牙工程
  • 德伦环境
  • 分院导航

您的位置: > 口腔内科 > 牙周科 > 牙龈萎缩 >

为什么年纪轻轻就开始掉牙了?
2023-09-26 15:48来源:德伦口腔点击:次
俗话说,老掉牙,老掉牙,好像都是老了才可能掉光牙啊?怎么年纪轻轻的90后也开始掉牙了呢?一掉还是半口牙?
 
 
看着风雨飘摇的牙齿,不禁让人陷入了沉思,这一切的背后,到底隐藏了怎么不为人知的秘密?今天小德就为大家揭示这一切的罪魁祸首,它就是牙周病!
 
 
什么是牙周病?
 
牙周病,是牙齿支持组织所发生的病变。它是引起成年人牙齿丧失的主要原因之一,也是危害人类牙齿和全身健康的主要口腔疾病。
 
牙周病往往是从刷牙流血、口腔异味开始,逐渐发展到牙齿松动,这中间需要十多年。年纪越小,激素水平越高,流血会比较严重,随着年龄增长,到了二三十岁之后,流血的频率反而会减弱。
 

 
“如果出现过一次以上刷牙流血的经历,建议及时就医。即便口腔没有任何问题,也建议定期给牙齿做个‘体检’。还有,定期洗牙也能够有效预防牙周炎。” 有些号称可以消炎的牙膏不建议使用,这些牙膏只具备止血功能,反而掩盖疾病。
 
牙周病的危害有哪些?
 
刚刚出现的是牙周病的前身:牙龈炎,它的到来意味着我们会时不时牙龈出血,慢慢地牙龈会出现轻微的红肿。
 

 
而发展成牙周病后,带来的就不是简简单单的牙龈出血了。随后,长期的牙龈红肿,出血,牙龈萎缩,牙槽骨吸收,牙龈溢脓,牙齿松动,然后就是完好无缺的牙齿,却慢慢脱落了。
 
如何预防和治疗牙周炎?
 
预防牙周病是预防口腔疾病的一个重要部分,那么,在日常生活中,我们应该怎样预防牙周病呢?
 
1、有效刷牙,定期做口腔洁治:坚持饭后、正确刷牙,建议每年接受1---2次专业的全口洁治,由专业牙医帮您清除牙齿上的菌斑和结石,令牙周组织健康,防治牙周病,同时,给牙齿做“体检”,如发现问题尽早处理。
 
 
2、问题牙齿需尽早修复或拔除:已经无可挽救的牙齿要尽早拔掉,不良修复体和残根残冠要及时拆除,免除后患。

 
3、缺失的牙齿尽早修复:避免长时间缺失牙引起的牙床变化,造成邻牙松动、歪斜。
 
 
4、良好的生活习惯,正确的口腔健康预防意识,能够有效预防或防止牙周病。
 
5、养成健康的饮食习惯,注意饮食结构要营养均衡。
 
只有平时养成良好的口腔卫生习惯,才能有效地防治口腔疾病的发生。

如果您还有其它问题,可以在线咨询德伦口腔专家为您解答相关口腔问题,您也可以拨打全国热线电话 020-83782905 咨询,德伦口腔专家会竭尽所能的帮助您。在线咨询德伦口腔专家>>>
牙齿问题在线咨询 020-8378 2905

网上自助挂号

患者
须知

贯彻国家卫生部新医改政策,严格落实解决挂号难、看病难问题,开展网络自助预约挂号服务。

选择科室*

  • 种植科
  • 正畸科
  • 综合牙科
  • 儿童齿科

选择年龄*

  • 18岁以下
  • 18-30岁
  • 30-50岁
  • 50岁以上

口腔连锁品牌

  • 首页
  • 项目
  • 顶部

专家预约热线:020-8378 2905
本网站信息仅供参考,不能作为诊疗及医疗依据
广州德伦口腔 粤ICP备11073526号