微信微博手机网站

德伦logo

连锁绽放

来院路线

  • 德伦首页|
  • 品牌文化|
  • 牙齿矫正|
  • 牙齿种植|
  • 牙齿修复|
  • 口腔内科|
  • 口腔外科|
  • 儿童齿科|
  • 专家团队|
  • 在线预约

您的位置: > 口腔内科 > 牙周科 > 牙龈萎缩 >

牙龈萎缩了还能再恢复吗?

发表于:2023-09-15 来源:德伦口腔 编辑:徐编 点击:次

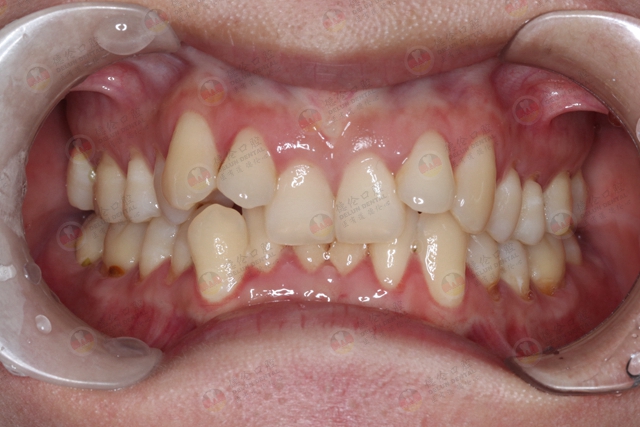
近期小德的朋友跟小德抱怨,突然发现牙好像长长了...牙龈好像也少了很多这究竟是怎么回事?其实这些都是牙龈萎缩的症状,更可怕的是牙龈萎缩是不可逆的!这该怎么办才好?


 
事出必有因,要想解决这个问题,还得从问题的根源找起。
 
牙龈为什么会萎缩?
 
有以下这几种常见原因——
 
01、生理现象
随着年龄的增长,身体机能和器官会慢慢退化,牙齿也会出现萎缩的情况,这种是正常现象,一般不需要进行特殊的治疗。
 
02、牙周炎
通常而言,牙周炎患者会出现牙槽骨吸收和牙龈萎缩的症状,伴随而来的还有牙缝变大、牙根暴露、牙齿松动等。
 
 
而造成牙周炎的“罪魁祸首”是菌斑和牙结石,在它们的不断刺激下,牙龈开始出现肿痛和出血的现象,逐步引发牙龈炎。
 
所以当我们一开始发现“苗头”的时候,就应该及时到医院清理牙结石,避免牙龈继续受到牙结石的摧残。
 
03、牙列不齐
牙齿排列不整齐,会造成刷牙的时候很难刷干净,这就会导致菌斑和软垢残留,引发牙周组织的一系列问题,其中也就包括了牙龈萎缩。
 
 
04、错误的刷牙方式
有的人习惯“暴力”刷牙,用蛮力拉锯式刷牙,这就很容易造成牙齿遭受过大的机械外力,从而导致牙龈萎缩。
 
牙龈萎缩还能再恢复吗?
 
虽然通过专业的治疗后,牙龈萎缩的症状可以得到一定程度上的控制和缓解,但是对于已经被破坏的牙龈组织来说,是不可逆的、无法再恢复的。


 
但即使无法再恢复,牙齿出现问题仍然要及时就医,控制病情的发展,才能阻止牙龈继续萎缩,避免牙齿松动、脱落的结果。
 
如何预防牙龈萎缩?
 
01、认真刷牙
刷牙是根本的方法,相对于横向刷牙法,“巴氏刷牙法”可以更好地将牙颈部附着的食物残渣、软垢、牙菌斑去除,从而预防牙槽骨吸收、牙龈萎缩。

 
02、正确使用牙线或牙间刷
如果患者已经有一定程度的牙龈萎缩,需要认真使用牙线,牙线尽量避免触碰牙龈,或者使用比较软毛的牙间刷,也可以避免伤及牙龈。另外,尽量避免使用坚硬的牙签,可以帮助保护牙龈、防止萎缩。
 
03、牙周维护
每半年~1年,进行一次牙周维护,由专业的医生进行牙周检查。对于没有牙周问题的朋友,也可以每半年~1年洁一次牙,从而更好地维护牙周健康,避免牙龈萎缩。


 
04、正畸
如果是牙齿比较拥挤的情况,建议尽早进行正畸治疗,将牙齿排列整齐,刷牙更方便,更容易刷干净,从而不易出现牙周病、牙龈萎缩。
 
 
温馨提醒
 
牙齿出现异常一定要及时就医呀,不要等到牙齿掉了才后悔莫及到时候就来不及了!

如果您还有其它问题,可以在线咨询德伦口腔专家为您解答相关口腔问题,您也可以拨打全国热线电话 020-83782905 咨询,德伦口腔专家会竭尽所能的帮助您。在线咨询德伦口腔专家>>>

热点推荐

Recommended

• 成年后,牙齿越长越“长”?警惕
• 牙齿越长越长是怎么回事?
• 90%成年人患有牙周病,你的牙齿
• 为什么年纪轻轻就开始掉牙了?
• 牙齿为什么越来越长了?
• 牙龈萎缩了,还能做种植牙吗?
• 当牙齿出现“黑三角”怎么办?可
• 我的牙龈萎缩了,能再恢复吗?
  • 上一篇:牙齿的“黑三角”是什么?会有什么危害吗?
  • 下一篇:我的牙龈萎缩了,能再恢复吗?
返回列表

分享至

  • 关于德伦|
  • 院点导航|
  • 人才招聘|
  • 坐车路线|
  • 网站地图|
  • 联系我们|
  • 隐私声明
  • 德伦口腔诊疗项目
  • 数智种植牙
  • 无牙颌舒适种植
  • 数字化牙齿矫正
  • 数字化隐形矫正
  • 舌侧隐形矫正
  • 瓷玉雕美牙贴面
  • 牙齿美容修复
  • 显微根管治疗
  • 牙周综合治疗
  • 微创智齿拔除
  • 微创舒适拔牙

广州东风总院(医保定点单位)    电话:020-83782905
地址:广州市越秀区东风中路418号华以泰国际大厦4、17、18、19、22楼(正骨医院对面)

[粤卫网审字(2011)第83号] 粤ICP备11073526号
医疗广告审查证明文号:粤(A)广(2024)第1332号
本网站信息仅供参考,不能作为诊疗及医疗依据
广州市德伦口腔门诊部有限公司 版权所有

关注德伦口腔官方微信
  • 德伦首页
  • 德伦品牌
  • 牙科项目
  • 专家团队
  • 儿童口腔
  • 爱牙工程
  • 德伦环境
  • 分院导航

您的位置: > 口腔内科 > 牙周科 > 牙龈萎缩 >

牙龈萎缩了还能再恢复吗?
2023-09-15 14:26来源:德伦口腔点击:次
近期小德的朋友跟小德抱怨,突然发现牙好像长长了...牙龈好像也少了很多这究竟是怎么回事?其实这些都是牙龈萎缩的症状,更可怕的是牙龈萎缩是不可逆的!这该怎么办才好?


 
事出必有因,要想解决这个问题,还得从问题的根源找起。
 
牙龈为什么会萎缩?
 
有以下这几种常见原因——
 
01、生理现象
随着年龄的增长,身体机能和器官会慢慢退化,牙齿也会出现萎缩的情况,这种是正常现象,一般不需要进行特殊的治疗。
 
02、牙周炎
通常而言,牙周炎患者会出现牙槽骨吸收和牙龈萎缩的症状,伴随而来的还有牙缝变大、牙根暴露、牙齿松动等。
 
 
而造成牙周炎的“罪魁祸首”是菌斑和牙结石,在它们的不断刺激下,牙龈开始出现肿痛和出血的现象,逐步引发牙龈炎。
 
所以当我们一开始发现“苗头”的时候,就应该及时到医院清理牙结石,避免牙龈继续受到牙结石的摧残。
 
03、牙列不齐
牙齿排列不整齐,会造成刷牙的时候很难刷干净,这就会导致菌斑和软垢残留,引发牙周组织的一系列问题,其中也就包括了牙龈萎缩。
 
 
04、错误的刷牙方式
有的人习惯“暴力”刷牙,用蛮力拉锯式刷牙,这就很容易造成牙齿遭受过大的机械外力,从而导致牙龈萎缩。
 
牙龈萎缩还能再恢复吗?
 
虽然通过专业的治疗后,牙龈萎缩的症状可以得到一定程度上的控制和缓解,但是对于已经被破坏的牙龈组织来说,是不可逆的、无法再恢复的。


 
但即使无法再恢复,牙齿出现问题仍然要及时就医,控制病情的发展,才能阻止牙龈继续萎缩,避免牙齿松动、脱落的结果。
 
如何预防牙龈萎缩?
 
01、认真刷牙
刷牙是根本的方法,相对于横向刷牙法,“巴氏刷牙法”可以更好地将牙颈部附着的食物残渣、软垢、牙菌斑去除,从而预防牙槽骨吸收、牙龈萎缩。

 
02、正确使用牙线或牙间刷
如果患者已经有一定程度的牙龈萎缩,需要认真使用牙线,牙线尽量避免触碰牙龈,或者使用比较软毛的牙间刷,也可以避免伤及牙龈。另外,尽量避免使用坚硬的牙签,可以帮助保护牙龈、防止萎缩。
 
03、牙周维护
每半年~1年,进行一次牙周维护,由专业的医生进行牙周检查。对于没有牙周问题的朋友,也可以每半年~1年洁一次牙,从而更好地维护牙周健康,避免牙龈萎缩。


 
04、正畸
如果是牙齿比较拥挤的情况,建议尽早进行正畸治疗,将牙齿排列整齐,刷牙更方便,更容易刷干净,从而不易出现牙周病、牙龈萎缩。
 
 
温馨提醒
 
牙齿出现异常一定要及时就医呀,不要等到牙齿掉了才后悔莫及到时候就来不及了!

如果您还有其它问题,可以在线咨询德伦口腔专家为您解答相关口腔问题,您也可以拨打全国热线电话 020-83782905 咨询,德伦口腔专家会竭尽所能的帮助您。在线咨询德伦口腔专家>>>
牙齿问题在线咨询 020-8378 2905

网上自助挂号

患者
须知

贯彻国家卫生部新医改政策,严格落实解决挂号难、看病难问题,开展网络自助预约挂号服务。

选择科室*

  • 种植科
  • 正畸科
  • 综合牙科
  • 儿童齿科

选择年龄*

  • 18岁以下
  • 18-30岁
  • 30-50岁
  • 50岁以上

口腔连锁品牌

  • 首页
  • 项目
  • 顶部

专家预约热线:020-8378 2905
本网站信息仅供参考,不能作为诊疗及医疗依据
广州德伦口腔 粤ICP备11073526号