微信微博手机网站

德伦logo

连锁绽放

来院路线

  • 德伦首页|
  • 品牌文化|
  • 牙齿矫正|
  • 牙齿种植|
  • 牙齿修复|
  • 口腔内科|
  • 口腔外科|
  • 儿童齿科|
  • 专家团队|
  • 在线预约

您的位置: > 口腔内科 > 牙周科 > 牙结石 >

龈下结石,你口腔中的隐形炸弹!

发表于:2023-07-21 来源:德伦口腔 编辑:徐编 点击:次

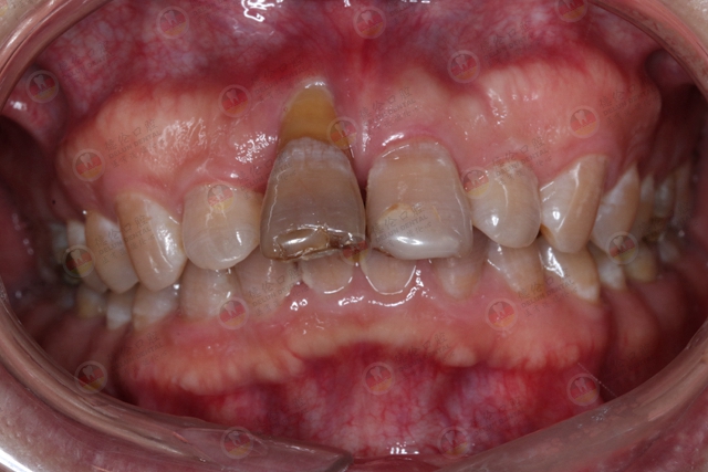
牙龈老是肿胀,牙齿底部也有黑色脏东西,而且牙根都暴露出来,好像是牙龈萎缩,给医生检查的时候,医生却告知牙龈内有牙结石,奇怪了,牙结石难道都不是长在牙齿表面吗?

 
它不光是长在牙龈上面那些我们肉眼能看到的地方,在牙龈下面看不到的地方也长有牙结石。
 
牙结石为什么会长在牙龈下面?
 
众所周知,牙结石在牙龈上面可以看到,也比较容易清洁。如果是在牙龈下,那就说明你有牙周炎了,一般牙周袋通常比较深,经常藏污纳垢,菌斑堆积后形成牙结石,造成牙龈周围有发黑现象!

 
牙龈下面的牙结石肉眼看不到,一般呈褐色或者黑色,附着更坚固,而且牙结石易吸附细菌/毒素,再加上本身对牙周组织的刺激,会使牙龈内侧溃疡,不易愈合,导致牙龈出血,牙周疾病加重,口臭,牙周袋,牙齿松动甚至脱落等。

 
糟糕的就是,牙周病与蛀牙不同,蛀牙可通过修补的方式来改善,但是牙槽骨一旦吸收就很难再生了。举个例子:牙槽骨就像土壤,牙齿就是树,一旦土壤流失了,那么树木也很难生存了。
 
“龈下结石”如何清除?
 
牙结石虽然厉害,但是它也是有克星的!它怕什么?怕清洁清理!
 
刷牙吗?不,牙结石像石头那么硬,传统的刷牙恐怕没法干掉他们!那要怎么做呢?去正规的口腔医院(诊所)洗个牙吧!把菌斑、牙石统统干掉,相当于进行一次口腔卫生“大扫除”。


 
多久时间洗一次牙?
 
1、牙面上的牙石,一旦被清除后,又可慢慢的再沉积。这种沉积的快慢与刷牙仔细与否、个人生活习惯,个人生理状况都有关系。如刷牙不周到,只把门面刷得很干净,后面的大牙和牙齿的舌面就刷得马虎,这些地方就会很快又出现牙石。


 
2、有的人唾液里磷、钙的含量较高,唾液又较粘稠,洁牙后过不了几个月,就又出现了较多的牙石。因此,为了确保口腔的健康,保持牙齿洁白生辉,每半年到牙科诊所去洁一次牙,吸烟人群在每三月就应去洁一次牙。
 
3、有些患者洗完牙觉得牙缝大了,这是因为牙根以前就发生了萎缩,早已出现的牙缝被牙结石塞得满满的,平时不觉得,一旦洗了牙,没有了牙结石,顿时牙缝就露了出来,并非洗了牙导致牙缝变大。

 
4、洗牙的过程通常会有点酸痛,如果发炎情形严重或牙结石很多,很久未洗的人更可能因牙龈红肿而出血。这都是正常的,洗牙后流血情形一般会在24小时内慢慢消失。
 
如果您还有其它问题,可以在线咨询德伦口腔专家为您解答相关口腔问题,您也可以拨打全国热线电话 020-83782905 咨询,德伦口腔专家会竭尽所能的帮助您。在线咨询德伦口腔专家>>>

热点推荐

Recommended

• 洗牙给牙齿带来的好处,预防大于
• 你有没有被这些牙齿谣言坑过?
• 冷热牙齿都敏感刺激,这样预防可
• 洗牙和牙周刮治到底有什么区别?
• 牙周炎 :一个由“牙菌斑”引起
• 有效改善牙龈出血的5个技巧
• 为什么每年洗牙牙齿还是不好?
• 龈下结石,你口腔中的隐形炸弹!
  • 上一篇:为啥我总是口臭?
  • 下一篇:为什么每年洗牙牙齿还是不好?
返回列表

分享至

  • 关于德伦|
  • 院点导航|
  • 人才招聘|
  • 坐车路线|
  • 网站地图|
  • 联系我们|
  • 隐私声明
  • 德伦口腔诊疗项目
  • 数智种植牙
  • 无牙颌舒适种植
  • 数字化牙齿矫正
  • 数字化隐形矫正
  • 舌侧隐形矫正
  • 瓷玉雕美牙贴面
  • 牙齿美容修复
  • 显微根管治疗
  • 牙周综合治疗
  • 微创智齿拔除
  • 微创舒适拔牙

广州东风总院(医保定点单位)    电话:020-83782905
地址:广州市越秀区东风中路418号华以泰国际大厦4、17、18、19、22楼(正骨医院对面)

[粤卫网审字(2011)第83号] 粤ICP备11073526号
医疗广告审查证明文号:粤(A)广(2024)第1332号
本网站信息仅供参考,不能作为诊疗及医疗依据
广州市德伦口腔门诊部有限公司 版权所有

关注德伦口腔官方微信
  • 德伦首页
  • 德伦品牌
  • 牙科项目
  • 专家团队
  • 儿童口腔
  • 爱牙工程
  • 德伦环境
  • 分院导航

您的位置: > 口腔内科 > 牙周科 > 牙结石 >

龈下结石,你口腔中的隐形炸弹!
2023-07-21 14:53来源:德伦口腔点击:次
牙龈老是肿胀,牙齿底部也有黑色脏东西,而且牙根都暴露出来,好像是牙龈萎缩,给医生检查的时候,医生却告知牙龈内有牙结石,奇怪了,牙结石难道都不是长在牙齿表面吗?

 
它不光是长在牙龈上面那些我们肉眼能看到的地方,在牙龈下面看不到的地方也长有牙结石。
 
牙结石为什么会长在牙龈下面?
 
众所周知,牙结石在牙龈上面可以看到,也比较容易清洁。如果是在牙龈下,那就说明你有牙周炎了,一般牙周袋通常比较深,经常藏污纳垢,菌斑堆积后形成牙结石,造成牙龈周围有发黑现象!

 
牙龈下面的牙结石肉眼看不到,一般呈褐色或者黑色,附着更坚固,而且牙结石易吸附细菌/毒素,再加上本身对牙周组织的刺激,会使牙龈内侧溃疡,不易愈合,导致牙龈出血,牙周疾病加重,口臭,牙周袋,牙齿松动甚至脱落等。

 
糟糕的就是,牙周病与蛀牙不同,蛀牙可通过修补的方式来改善,但是牙槽骨一旦吸收就很难再生了。举个例子:牙槽骨就像土壤,牙齿就是树,一旦土壤流失了,那么树木也很难生存了。
 
“龈下结石”如何清除?
 
牙结石虽然厉害,但是它也是有克星的!它怕什么?怕清洁清理!
 
刷牙吗?不,牙结石像石头那么硬,传统的刷牙恐怕没法干掉他们!那要怎么做呢?去正规的口腔医院(诊所)洗个牙吧!把菌斑、牙石统统干掉,相当于进行一次口腔卫生“大扫除”。


 
多久时间洗一次牙?
 
1、牙面上的牙石,一旦被清除后,又可慢慢的再沉积。这种沉积的快慢与刷牙仔细与否、个人生活习惯,个人生理状况都有关系。如刷牙不周到,只把门面刷得很干净,后面的大牙和牙齿的舌面就刷得马虎,这些地方就会很快又出现牙石。


 
2、有的人唾液里磷、钙的含量较高,唾液又较粘稠,洁牙后过不了几个月,就又出现了较多的牙石。因此,为了确保口腔的健康,保持牙齿洁白生辉,每半年到牙科诊所去洁一次牙,吸烟人群在每三月就应去洁一次牙。
 
3、有些患者洗完牙觉得牙缝大了,这是因为牙根以前就发生了萎缩,早已出现的牙缝被牙结石塞得满满的,平时不觉得,一旦洗了牙,没有了牙结石,顿时牙缝就露了出来,并非洗了牙导致牙缝变大。

 
4、洗牙的过程通常会有点酸痛,如果发炎情形严重或牙结石很多,很久未洗的人更可能因牙龈红肿而出血。这都是正常的,洗牙后流血情形一般会在24小时内慢慢消失。
 
如果您还有其它问题,可以在线咨询德伦口腔专家为您解答相关口腔问题,您也可以拨打全国热线电话 020-83782905 咨询,德伦口腔专家会竭尽所能的帮助您。在线咨询德伦口腔专家>>>
牙齿问题在线咨询 020-8378 2905

网上自助挂号

患者
须知

贯彻国家卫生部新医改政策,严格落实解决挂号难、看病难问题,开展网络自助预约挂号服务。

选择科室*

  • 种植科
  • 正畸科
  • 综合牙科
  • 儿童齿科

选择年龄*

  • 18岁以下
  • 18-30岁
  • 30-50岁
  • 50岁以上

口腔连锁品牌

  • 首页
  • 项目
  • 顶部

专家预约热线:020-8378 2905
本网站信息仅供参考,不能作为诊疗及医疗依据
广州德伦口腔 粤ICP备11073526号