微信微博手机网站

德伦logo

连锁绽放

来院路线

  • 德伦首页|
  • 品牌文化|
  • 牙齿矫正|
  • 牙齿种植|
  • 牙齿修复|
  • 口腔内科|
  • 口腔外科|
  • 儿童齿科|
  • 专家团队|
  • 在线预约

您的位置: > 口腔保健 >

快来对镜自查,你的牙齿需要矫正吗?

发表于:2023-07-27 来源:德伦口腔 编辑:刘编辑 点击:次

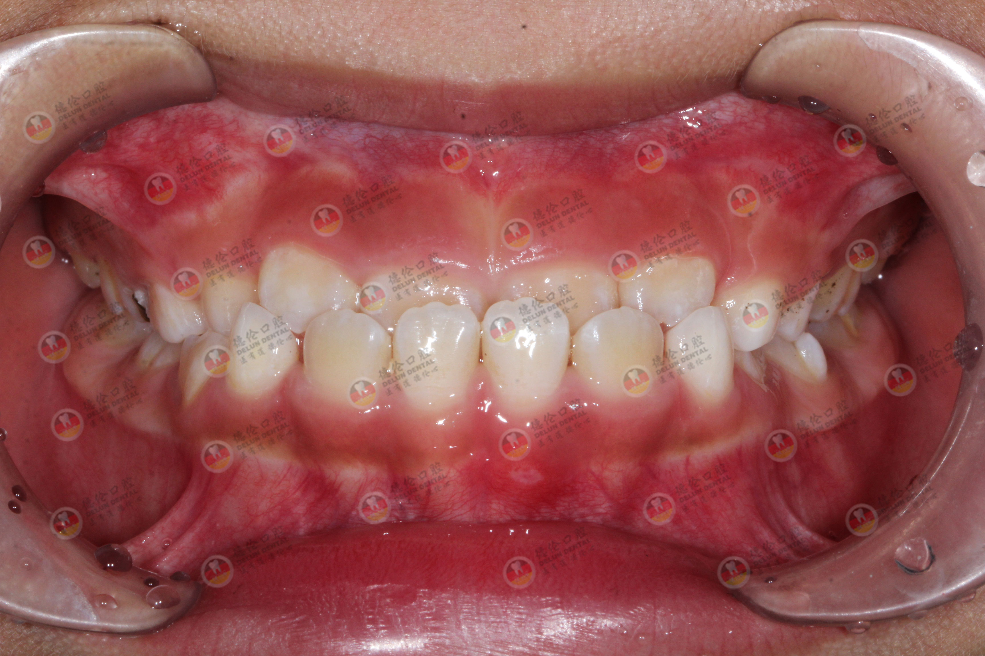
牙齿不齐现象在我国非常普遍,根据第四次中国口腔健康流行病学调查报告显示,人群中错颌畸形的发病率为 72.97%,相当于10个人中7个人牙齿畸形。

 
目前,错颌畸形有 5 种常见形态,每种在面部表现上各有差别,对颜值的影响也不大一样,可以对镜自查,你是否也存在这类问题?
 
常见牙齿畸形

1.反颌
 
也就是俗称的「地包天」,下排牙齿包住一部分上牙,导致咬合不齐、下巴立体度不够,对面型造成影响,侧面看上去像“月牙脸”。

2.牙齿前突
 
即常见的「龅牙」,主要表现为上下牙齿向前延伸,严重的可能会引起闭唇困难,影响唇形、侧面脸型,加深法令纹。

3.牙齿拥挤
 
简单理解,如果把整排牙齿看做军训时规整的队列,有几个「调皮捣蛋」的牙齿跑出了队伍,导致前后参差不齐。主要影响咬合,口腔清洁不便,也不太美观。

4.深覆颌
 
一种上下牙垂直关系异常的表现,简单来说就是「上牙过度包住了下牙」或「完全看不到下牙」,往往会出现露龈笑、笑容僵硬以及下巴后缩等情况,也就是大家常说的“小下巴”。

5.开颌
 
顾名思义,指上下牙之间存在较大的间隙,难以正常咬合和咀嚼。通常与不良习惯有关,如吮指、口呼吸、吐舌、舔牙等,可能导致说话漏风,嘴巴无法紧闭,面部不协调。
以上只是一些较为常见的错颌症状,除了影响牙齿整齐外,更会导致咬合不协调,若是刷牙不彻底,易发生龋齿等牙病。

 
如果你出现了错颌畸形,也不用过于担心。找到正规的机构与经验丰富的医生进行及时治疗,可以有效改善畸形情况,还你一口整齐美观的牙齿。
 
常见矫牙问题解答
 
Q1.成年人还能矫正吗?
 
牙齿矫正是没有年龄限制的。成年人虽然生长发育已经停止,骨的外部形态已稳定,但骨内部的再生改建能力依然存在,一般来讲,成年人只需在矫正前先治疗好如牙周炎症等口腔问题,牙齿都是可以矫正的。
 
Q2.可以缩短矫牙时间吗?
 
在矫正过程中,只有对牙齿施加适当的正畸力,才能重建牙槽骨以完成牙齿移位。
 
如果盲目追求速度,频繁施力或过度矫正,可能会造成牙根吸收、牙周组织损伤、咬合障碍等问题,可谓“欲速则不达”。
 
Q3.矫牙会不会很贵?
 
不同的矫正方式价格也略有不同,如常见的金属托槽矫治器价格较亲民,技术含量高的舌侧托槽矫治器较昂贵,有矫牙想法的朋友可以与医生进行沟通,根据牙齿情况与经济情况进行选择。
 
德伦口腔塑颜正畸,实现功能、健康、美观三大目标
 
德伦口腔正畸中心在多年“美学正畸”的实践基础上,全面实现了以面型为导向的正畸治疗,并由此衍生出德伦特色的塑颜正脸技术,在注重牙齿基本排齐的前提下,建立良好牙齿功能及稳定的矫治效果,进行面型的改善,帮助各类错颌畸形患者实现变美、变健康的目的,注重咬合功能协调,塑造颜值美观靓丽。查看德伦口腔正畸案例>>>
 

 
博硕专家团三层级会诊,为患者口腔健康保驾护航
 
由原广东省口腔医院正畸科学术带头人缪耀强教授,全国隐形矫治病例大赛二等奖获奖者熊小琴主任领衔的一批博硕专家团,在固定矫治、隐形矫治、舌侧矫治三大领域,都有一个学科带头人在指导监督,并在院内形成“正畸安全质量控制小组”,专家团对方案把关,对病例抽查,对结果考核,形成“主诊医生-科主任-技术院长”三层综合会诊和监督的制度。在线咨询德伦正畸专家>>>
 
 
也就是说,全集团每一位患者的矫治方案并不是由主诊医师一个人决定,而是以我们技术院长为首的专家团队对方案进行把关。在矫治过程中,质控小组对我们每一个病例进行全程监控,为患者“保驾护航”。

热点推荐

Recommended

• 日常如何预防口臭?
• 牙齿经常酸软无力怎么办?
• 如何预防牙龈萎缩?
• 如何保护孩子的乳牙?
• 为什么要定期洁牙?
• 快来对镜自查,你的牙齿需要矫正
• 定期口腔检查有没有必要?
• 总是反复口腔溃疡怎么办?
  • 上一篇:定期口腔检查有没有必要?
  • 下一篇:为什么要定期洁牙?
返回列表

分享至

  • 关于德伦|
  • 院点导航|
  • 人才招聘|
  • 坐车路线|
  • 网站地图|
  • 联系我们|
  • 隐私声明
  • 德伦口腔诊疗项目
  • 数智种植牙
  • 无牙颌舒适种植
  • 数字化牙齿矫正
  • 数字化隐形矫正
  • 舌侧隐形矫正
  • 瓷玉雕美牙贴面
  • 牙齿美容修复
  • 显微根管治疗
  • 牙周综合治疗
  • 微创智齿拔除
  • 微创舒适拔牙

广州东风总院(医保定点单位)    电话:020-83782905
地址:广州市越秀区东风中路418号华以泰国际大厦4、17、18、19、22楼(正骨医院对面)

[粤卫网审字(2011)第83号] 粤ICP备11073526号
医疗广告审查证明文号:粤(A)广(2024)第1332号
本网站信息仅供参考,不能作为诊疗及医疗依据
广州市德伦口腔门诊部有限公司 版权所有

关注德伦口腔官方微信
  • 德伦首页
  • 德伦品牌
  • 牙科项目
  • 专家团队
  • 儿童口腔
  • 爱牙工程
  • 德伦环境
  • 分院导航

您的位置: > 口腔保健 >

快来对镜自查,你的牙齿需要矫正吗?
2023-07-27 15:47来源:德伦口腔点击:次
牙齿不齐现象在我国非常普遍,根据第四次中国口腔健康流行病学调查报告显示,人群中错颌畸形的发病率为 72.97%,相当于10个人中7个人牙齿畸形。

 
目前,错颌畸形有 5 种常见形态,每种在面部表现上各有差别,对颜值的影响也不大一样,可以对镜自查,你是否也存在这类问题?
 
常见牙齿畸形

1.反颌
 
也就是俗称的「地包天」,下排牙齿包住一部分上牙,导致咬合不齐、下巴立体度不够,对面型造成影响,侧面看上去像“月牙脸”。

2.牙齿前突
 
即常见的「龅牙」,主要表现为上下牙齿向前延伸,严重的可能会引起闭唇困难,影响唇形、侧面脸型,加深法令纹。

3.牙齿拥挤
 
简单理解,如果把整排牙齿看做军训时规整的队列,有几个「调皮捣蛋」的牙齿跑出了队伍,导致前后参差不齐。主要影响咬合,口腔清洁不便,也不太美观。

4.深覆颌
 
一种上下牙垂直关系异常的表现,简单来说就是「上牙过度包住了下牙」或「完全看不到下牙」,往往会出现露龈笑、笑容僵硬以及下巴后缩等情况,也就是大家常说的“小下巴”。

5.开颌
 
顾名思义,指上下牙之间存在较大的间隙,难以正常咬合和咀嚼。通常与不良习惯有关,如吮指、口呼吸、吐舌、舔牙等,可能导致说话漏风,嘴巴无法紧闭,面部不协调。
以上只是一些较为常见的错颌症状,除了影响牙齿整齐外,更会导致咬合不协调,若是刷牙不彻底,易发生龋齿等牙病。

 
如果你出现了错颌畸形,也不用过于担心。找到正规的机构与经验丰富的医生进行及时治疗,可以有效改善畸形情况,还你一口整齐美观的牙齿。
 
常见矫牙问题解答
 
Q1.成年人还能矫正吗?
 
牙齿矫正是没有年龄限制的。成年人虽然生长发育已经停止,骨的外部形态已稳定,但骨内部的再生改建能力依然存在,一般来讲,成年人只需在矫正前先治疗好如牙周炎症等口腔问题,牙齿都是可以矫正的。
 
Q2.可以缩短矫牙时间吗?
 
在矫正过程中,只有对牙齿施加适当的正畸力,才能重建牙槽骨以完成牙齿移位。
 
如果盲目追求速度,频繁施力或过度矫正,可能会造成牙根吸收、牙周组织损伤、咬合障碍等问题,可谓“欲速则不达”。
 
Q3.矫牙会不会很贵?
 
不同的矫正方式价格也略有不同,如常见的金属托槽矫治器价格较亲民,技术含量高的舌侧托槽矫治器较昂贵,有矫牙想法的朋友可以与医生进行沟通,根据牙齿情况与经济情况进行选择。
 
德伦口腔塑颜正畸,实现功能、健康、美观三大目标
 
德伦口腔正畸中心在多年“美学正畸”的实践基础上,全面实现了以面型为导向的正畸治疗,并由此衍生出德伦特色的塑颜正脸技术,在注重牙齿基本排齐的前提下,建立良好牙齿功能及稳定的矫治效果,进行面型的改善,帮助各类错颌畸形患者实现变美、变健康的目的,注重咬合功能协调,塑造颜值美观靓丽。查看德伦口腔正畸案例>>>
 

 
博硕专家团三层级会诊,为患者口腔健康保驾护航
 
由原广东省口腔医院正畸科学术带头人缪耀强教授,全国隐形矫治病例大赛二等奖获奖者熊小琴主任领衔的一批博硕专家团,在固定矫治、隐形矫治、舌侧矫治三大领域,都有一个学科带头人在指导监督,并在院内形成“正畸安全质量控制小组”,专家团对方案把关,对病例抽查,对结果考核,形成“主诊医生-科主任-技术院长”三层综合会诊和监督的制度。在线咨询德伦正畸专家>>>
 
 
也就是说,全集团每一位患者的矫治方案并不是由主诊医师一个人决定,而是以我们技术院长为首的专家团队对方案进行把关。在矫治过程中,质控小组对我们每一个病例进行全程监控,为患者“保驾护航”。
牙齿问题在线咨询 020-8378 2905

网上自助挂号

患者
须知

贯彻国家卫生部新医改政策,严格落实解决挂号难、看病难问题,开展网络自助预约挂号服务。

选择科室*

  • 种植科
  • 正畸科
  • 综合牙科
  • 儿童齿科

选择年龄*

  • 18岁以下
  • 18-30岁
  • 30-50岁
  • 50岁以上

口腔连锁品牌

  • 首页
  • 项目
  • 顶部

专家预约热线:020-8378 2905
本网站信息仅供参考,不能作为诊疗及医疗依据
广州德伦口腔 粤ICP备11073526号