近年来,长“双排牙”的小朋友越来越多,从幼儿园到小学比比皆是......在家长无微不至的关怀下,恒牙萌出,乳牙滞留,孩子长出了“双排牙”。今天小德就给大家讲讲“双排牙”到底用不用拔。

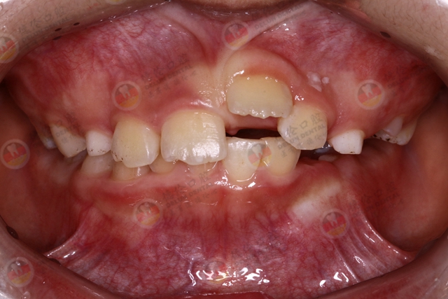
什么是“双排牙”?
儿童换牙期,乳牙脱落和恒牙萌出关系十分密切。孩子六七岁时,乳牙就已经基本完成使命,自动脱落,随后恒牙逐渐萌出。但是,有些孩子恒牙已经长出来了,而相应的乳牙却迟迟不肯“退位让贤”,恒牙被迫“委曲求全”,从后面萌出,形成一前一后双排牙。在口腔医学中,这种情况被称为乳牙滞留。

双排牙形成的原因:
01.营养过剩。营养供给好,牙胚发育早,乳牙没脱落时,恒牙等不及就冒头了。
02.饮食精细。食物过于松软、精细,乳牙牙根未得到充分的刺激和锻炼,和牙槽骨紧密相连,不易脱落。
03.乳牙病变。乳牙出现龋坏,情况严重时会造成乳牙根吸收障碍,造成乳牙不能及时脱落。
“乳牙会自然脱落不用拔”是错的
“双排牙”一般在七八岁的孩子中常见,通常发生在下牙,也有上牙长双排牙的现象。
一般情况下孩子六七岁时,乳牙开始自动脱落,恒牙逐渐萌出,但有些小孩有这样的情况,乳牙还没掉,新牙就冒了出来,形成了双排牙。
双排牙的出现,从临床医学上讲,是由于恒牙顶乳牙的位置发生了偏差。出现双排牙,不及时治疗可诱发其他问题。一般情况下,“双排牙”的危害有以下4点:
01.导致新生恒牙萌出异常,对孩子领骨发育、咀嚼功能、面部美观造成影响。上领的乳牙滞留,有可能会造成反合,也就是俗话说的“地包天”,而下颌常见就是牙齿排列不齐。
02.不利于牙齿清洁,牙齿间滞留的食物残渣,容易形成牙垢和牙结石,导致口臭。
04.如果产生炎症,局部含有细菌微生物的慢性炎症病灶,其中的细菌及其毒素通过血管及淋巴管被带到其他器官和组织当机体的抵抗力降低时,这些远离患牙的组织器官也可能发生病变,引起机体一系列的疾病比如心肌炎、肾炎、心内膜炎、眼疾、风湿性关节炎等问题。
很多家长认为“乳牙会自然脱落不用拔”,这是错误的,这主要看恒牙萌出时间与乳牙脱落时间。
双排牙到底要不要拔?
拔不拔牙,首先要看恒牙萌出的高度,当恒牙只萌出1/3或者2/3,且前排牙齿还没有松动的情况下,建议家长要有耐心,让孩子多吃硬的食物,比如啃苹果、咬玉米等生理性的刺激,以促进其自然脱落。
如果出现恒牙已经萌出,乳牙尚未及时正常脱落,应拔除未脱落的乳牙。因为未脱落的乳牙会占据相应恒牙的位置,导致新萌出的恒牙侧方萌出,造成牙列不齐如果不及时拔掉,等它们完全自行脱落,还需要三四个月到一年的时间,这对于恒牙的生长有很大的影响。
如果其他异常情况,家长要及时带孩子去看牙医。
如何预防孩子出现双排牙?
首先,家长要循序渐进地给孩子吃一些硬度适中可撕拽的食物。如,可以给孩子啃个苹果,啃甘蔗玉米、花生等耐嚼的食物,这样做保持对乳牙良好的刺激作用,促使乳牙按时脱落。
家长应该监督孩子,纠正孩子的不良习惯,例如:咬唇、咬舌、吹口哨、咬铅笔等。
其次,家长要让孩子培养良好的卫生习惯,定时好好刷牙。少吃甜食糕点,少喝糖分高的饮料,进食后及时漱口刷牙。
双排牙拔不拔,要具体情况具体分析。如果家长不确定,建议及时带孩子到口腔诊所医院诊治,切勿耽搁!
如果您还有其它问题,可以在线咨询德伦口腔专家为您解答相关口腔问题,您也可以拨打全国热线电话 020-83782905 咨询,德伦口腔专家会竭尽所能的帮助您。在线咨询德伦口腔专家>>>