微信微博手机网站

德伦logo

连锁绽放

来院路线

  • 德伦首页|
  • 品牌文化|
  • 牙齿矫正|
  • 牙齿种植|
  • 牙齿修复|
  • 口腔内科|
  • 口腔外科|
  • 儿童齿科|
  • 专家团队|
  • 在线预约

您的位置: > 口腔正畸中心 > 牙列拥挤 >

牙齿拥挤矫正需要多长时间?

发表于:2023-02-27 来源:德伦口腔 编辑:刘编 点击:次

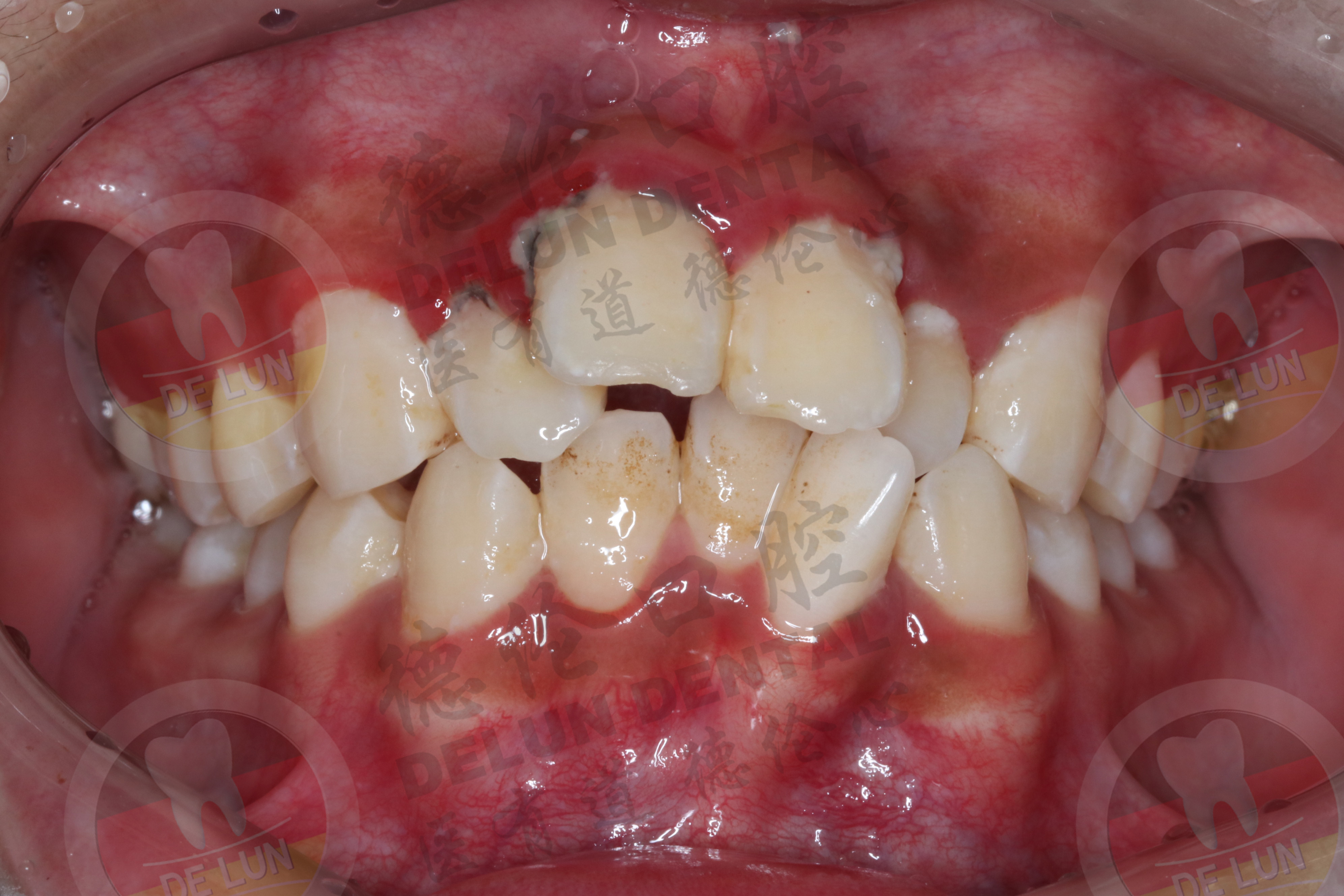
现在的人多多少少都会有牙齿不齐的情况,而牙齿拥挤也是十分常见的,像多生牙、乳牙早失等都是造成牙齿拥挤的主要原因。牙齿拥挤对患者的口腔影响非常大,不但会影响整体的口腔清洁,还会影响外观,所以应该及时进行矫正。有很多朋友对牙齿拥挤矫正的相关情况不太清楚,今天就来跟大家聊一聊,希望对各位有帮助。

 
1.牙齿拥挤的矫正方法
 
不同的患者牙齿拥挤的情况都是不一样的,一般可以分为轻度拥挤,中、重度拥挤三种情况,不同的拥挤程度所采取的矫正方案也是不一样的,这也导致了矫正的时间有所不同。值得提醒的是,在矫牙期间,患者应该积极配合治疗,按时复诊,并做好牙齿清洁工作。

查看更多德伦口腔牙齿拥挤矫正案例>>>
 
2.牙齿拥挤矫正拔牙的问题
 
通常来说牙齿拥挤做矫正是需要拔牙的,因为本来牙弓的长度是固定的,如果不拔牙直接矫正牙齿的话,会导致矫正后的牙齿超过牙弓的长度,所以牙齿拥挤矫正大部分情况下是需要拔牙的。

查看更多德伦口腔牙齿拥挤拔牙矫正案例>>>
 
3.牙齿拥挤矫正的时间
 
1)一般来说,牙齿拥挤的矫正时间和其他牙齿畸形的差不多,不过因为牙齿拥挤往往需要拔牙之后再矫正,所以时间上会有所增加,特别是对于牙齿拥挤比较严重的患者。
 
2)其次,相比起成年人来说,儿童处于生长发育的快速期,牙齿移动的速度会比较快,所以矫正的时间也会比较短一些。因此,早发现早治疗是很有必要的。

牙齿畸形不但影响美观,还容易引发龋病、牙周炎症,同时常因牙齿错位而造成牙周的损害。严重的错颌畸形可以影响口腔正常功能,严重下颌后缩则影响正常呼吸。因此,需要及早进行矫正。测一测你适合哪一种矫正方案,数字化口扫提前预知矫正效果,立即抢免费名额>>>

以上就是牙齿拥挤矫正的相关介绍,如果您还有其它疑问,可以在线咨询德伦口腔专家为您解答相关口腔问题,您也可以拨打全国热线电话 020-83782905 咨询,德伦口腔专家会竭尽所能的帮助您。

热点推荐

Recommended

• 矫正拔牙后的缝隙可以恢复吗?需
• 牙齿矫正一定要拔牙吗?一下子拔
• 牙齿矫正了半年,我为什么还没变
• 牙齿拥挤不齐一定要拔牙吗?
• 矫牙反弹,你可能忽略了这几点!
• 我只是想要矫牙,为何医生说先拔
• 牙齿拥挤:别人矫正不拔牙,为什
• 牙列拥挤的危害与治疗
  • 上一篇:牙齿拥挤该如何矫治?
  • 下一篇:成年人做牙齿拥挤矫正需要很久吗?
返回列表

分享至

  • 关于德伦|
  • 院点导航|
  • 人才招聘|
  • 坐车路线|
  • 网站地图|
  • 联系我们|
  • 隐私声明
  • 德伦口腔诊疗项目
  • 数智种植牙
  • 无牙颌舒适种植
  • 数字化牙齿矫正
  • 数字化隐形矫正
  • 舌侧隐形矫正
  • 瓷玉雕美牙贴面
  • 牙齿美容修复
  • 显微根管治疗
  • 牙周综合治疗
  • 微创智齿拔除
  • 微创舒适拔牙

广州东风总院(医保定点单位)    电话:020-83782905
地址:广州市越秀区东风中路418号华以泰国际大厦4、17、18、19、22楼(正骨医院对面)

[粤卫网审字(2011)第83号] 粤ICP备11073526号
医疗广告审查证明文号:粤(A)广(2024)第1332号
本网站信息仅供参考,不能作为诊疗及医疗依据
广州市德伦口腔门诊部有限公司 版权所有

关注德伦口腔官方微信
  • 德伦首页
  • 德伦品牌
  • 牙科项目
  • 专家团队
  • 儿童口腔
  • 爱牙工程
  • 德伦环境
  • 分院导航

您的位置: > 口腔正畸中心 > 牙列拥挤 >

牙齿拥挤矫正需要多长时间?
2023-02-27 10:26来源:德伦口腔点击:次
现在的人多多少少都会有牙齿不齐的情况,而牙齿拥挤也是十分常见的,像多生牙、乳牙早失等都是造成牙齿拥挤的主要原因。牙齿拥挤对患者的口腔影响非常大,不但会影响整体的口腔清洁,还会影响外观,所以应该及时进行矫正。有很多朋友对牙齿拥挤矫正的相关情况不太清楚,今天就来跟大家聊一聊,希望对各位有帮助。

 
1.牙齿拥挤的矫正方法
 
不同的患者牙齿拥挤的情况都是不一样的,一般可以分为轻度拥挤,中、重度拥挤三种情况,不同的拥挤程度所采取的矫正方案也是不一样的,这也导致了矫正的时间有所不同。值得提醒的是,在矫牙期间,患者应该积极配合治疗,按时复诊,并做好牙齿清洁工作。

查看更多德伦口腔牙齿拥挤矫正案例>>>
 
2.牙齿拥挤矫正拔牙的问题
 
通常来说牙齿拥挤做矫正是需要拔牙的,因为本来牙弓的长度是固定的,如果不拔牙直接矫正牙齿的话,会导致矫正后的牙齿超过牙弓的长度,所以牙齿拥挤矫正大部分情况下是需要拔牙的。

查看更多德伦口腔牙齿拥挤拔牙矫正案例>>>
 
3.牙齿拥挤矫正的时间
 
1)一般来说,牙齿拥挤的矫正时间和其他牙齿畸形的差不多,不过因为牙齿拥挤往往需要拔牙之后再矫正,所以时间上会有所增加,特别是对于牙齿拥挤比较严重的患者。
 
2)其次,相比起成年人来说,儿童处于生长发育的快速期,牙齿移动的速度会比较快,所以矫正的时间也会比较短一些。因此,早发现早治疗是很有必要的。

牙齿畸形不但影响美观,还容易引发龋病、牙周炎症,同时常因牙齿错位而造成牙周的损害。严重的错颌畸形可以影响口腔正常功能,严重下颌后缩则影响正常呼吸。因此,需要及早进行矫正。测一测你适合哪一种矫正方案,数字化口扫提前预知矫正效果,立即抢免费名额>>>

以上就是牙齿拥挤矫正的相关介绍,如果您还有其它疑问,可以在线咨询德伦口腔专家为您解答相关口腔问题,您也可以拨打全国热线电话 020-83782905 咨询,德伦口腔专家会竭尽所能的帮助您。
牙齿问题在线咨询 020-8378 2905

网上自助挂号

患者
须知

贯彻国家卫生部新医改政策,严格落实解决挂号难、看病难问题,开展网络自助预约挂号服务。

选择科室*

  • 种植科
  • 正畸科
  • 综合牙科
  • 儿童齿科

选择年龄*

  • 18岁以下
  • 18-30岁
  • 30-50岁
  • 50岁以上

口腔连锁品牌

  • 首页
  • 项目
  • 顶部

专家预约热线:020-8378 2905
本网站信息仅供参考,不能作为诊疗及医疗依据
广州德伦口腔 粤ICP备11073526号