微信微博手机网站

德伦logo

连锁绽放

来院路线

  • 德伦首页|
  • 品牌文化|
  • 牙齿矫正|
  • 牙齿种植|
  • 牙齿修复|
  • 口腔内科|
  • 口腔外科|
  • 儿童齿科|
  • 专家团队|
  • 在线预约

您的位置: > 口腔正畸中心 > 牙齿不齐 >

牙齿矫正还有这些好处!

发表于:2023-10-10 来源:德伦口腔 编辑:徐编 点击:次

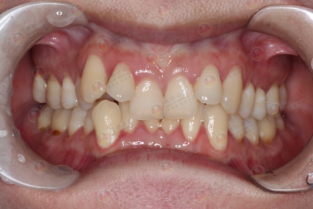
牙齿七扭八斜的你是不是也不爱笑?一拍照就遮遮掩掩?一口歪歪扭扭的牙齿,成为“颜值天花板”的障碍。为了变得好看,很多朋友都开始矫牙,你知道吗?矫牙的好处可不止变好看。

 
牙齿矫正能有什么用?
 
很多人认为,矫牙就是把牙齿排整齐,获得一个好的侧颜。其实,矫正治疗不仅要排齐牙齿,关注颜面美学,还要关注咬合功能、牙周健康。
 

 
01、改善面容
牙齿矫正后,可以改善原来由于牙齿不齐造成的颜面异常的情况。
 

 
02、改善口腔功能
牙齿整齐与否还会影响发音、嘴唇的闭合等,整齐的牙齿可以改善发音、嘴唇闭合不全的问题,同时还能避免口腔黏膜干燥及增进口腔对感染的抵抗力等。

 
03、清除咬合创伤
牙齿不整齐,在咬合时每个牙齿的力量是不均匀的,时间久了会导致牙齿损坏,使得牙齿更容易过早松动、脱落。而通过牙齿矫正让牙齿排列关系、咬合关系达到正常,能起到对牙齿的良好保护作用。
 
04、提高咀嚼能力
牙齿不齐会造成咀嚼功能低的问题,很多食物无法被充分咀嚼就进入到胃中,这样食物很难被消化,营养吸收也不是很好。牙齿矫正可以改善咬合,从而就提高了咀嚼功能,身体营养的吸收也就更好,有助于身体健康。

 
05、解除咬合干扰
某些错乱的咬合关系会导致颞颌关节的损害,而通过牙齿矫正使咬合关系恢复正常,可以避免这种损害。
 

 
06、维护牙周健康
不整齐的牙齿不容易清洁,易导致牙石沉积,牙龈红肿增生,出现刷牙出血、口臭等。时间长了可能致使牙周病变,如牙龈萎缩、牙齿松动等。而通过牙齿矫正让牙齿排列整齐后可以方便清洁口腔,预防龋齿及牙周病的发生。
 

 
我需要矫牙吗?
 
 
需要矫正的牙齿没有绝对的界限,牙齿畸形主要表现为牙齿不齐、牙齿前突、地包天、牙齿稀疏等等,这些问题影响美观、咬合功能甚至影响面部发育等,具体还需要医生检查后才能决定是否需要矫正。

 
通常情况下,需要矫正的牙齿具有以下特征之一或多个:
 
1、拥挤牙齿
当牙齿数量多于口腔空间时,牙齿就会变得拥挤。这种情况下,牙齿可能会相互重叠或扭曲,导致不整齐的外观和咬合问题。


 
2、错位牙齿
当牙齿在牙槽骨中生长时,可能会出现位置偏差。这种情况下,牙齿可能会错位或旋转,导致不整齐的外观和咬合问题。
 
3、龅牙
龅牙是指上颌前牙向前突出,超过下颌前牙的情况。这种情况下,牙齿可能会导致面部轮廓不美观,同时也会影响咬合功能。


 
4、深覆牙
深覆牙是指上前牙覆盖下前牙过多的情况。这种情况下,可能会导致咬合问题,同时也会影响面部轮廓。
 
小德提醒
 
牙齿矫正是一种非常有效的治疗方法,可以改善牙齿不整齐和咬合问题。然而,并非所有牙齿问题都适合矫正,因此在开始任何治疗之前,应该咨询专业的牙医进行全面的检查和评估。
 


如果您还有其它问题,可以在线咨询德伦口腔专家为您解答相关口腔问题,您也可以拨打全国热线电话 020-83782905 咨询,德伦口腔专家会竭尽所能的帮助您。在线咨询德伦口腔专家>>>

热点推荐

Recommended

• 那么多矫治器,哪一款才是适合自
• 戴钢牙怎样刷牙?学会这几点很简
• 矫牙时做好这5点,牙齿整齐又干
• 成年后再矫正牙齿,到底值不值得
• 如何缩短矫正牙齿的时间?
• 烤瓷牙和牙齿矫正只能二选一吗?
• 成年人还有必要做矫牙吗?
• 矫牙前,这五个问题得问清楚
  • 上一篇:想矫正,很纠结?看懂4点不必慌
  • 下一篇:用手按压可以矫正牙齿吗?注意!小心适得其反!
返回列表

分享至

  • 关于德伦|
  • 院点导航|
  • 人才招聘|
  • 坐车路线|
  • 网站地图|
  • 联系我们|
  • 隐私声明
  • 德伦口腔诊疗项目
  • 数智种植牙
  • 无牙颌舒适种植
  • 数字化牙齿矫正
  • 数字化隐形矫正
  • 舌侧隐形矫正
  • 瓷玉雕美牙贴面
  • 牙齿美容修复
  • 显微根管治疗
  • 牙周综合治疗
  • 微创智齿拔除
  • 微创舒适拔牙

广州东风总院(医保定点单位)    电话:020-83782905
地址:广州市越秀区东风中路418号华以泰国际大厦4、17、18、19、22楼(正骨医院对面)

[粤卫网审字(2011)第83号] 粤ICP备11073526号
医疗广告审查证明文号:粤(A)广(2024)第1332号
本网站信息仅供参考,不能作为诊疗及医疗依据
广州市德伦口腔门诊部有限公司 版权所有

关注德伦口腔官方微信
  • 德伦首页
  • 德伦品牌
  • 牙科项目
  • 专家团队
  • 儿童口腔
  • 爱牙工程
  • 德伦环境
  • 分院导航

您的位置: > 口腔正畸中心 > 牙齿不齐 >

牙齿矫正还有这些好处!
2023-10-10 16:05来源:德伦口腔点击:次
牙齿七扭八斜的你是不是也不爱笑?一拍照就遮遮掩掩?一口歪歪扭扭的牙齿,成为“颜值天花板”的障碍。为了变得好看,很多朋友都开始矫牙,你知道吗?矫牙的好处可不止变好看。

 
牙齿矫正能有什么用?
 
很多人认为,矫牙就是把牙齿排整齐,获得一个好的侧颜。其实,矫正治疗不仅要排齐牙齿,关注颜面美学,还要关注咬合功能、牙周健康。
 

 
01、改善面容
牙齿矫正后,可以改善原来由于牙齿不齐造成的颜面异常的情况。
 

 
02、改善口腔功能
牙齿整齐与否还会影响发音、嘴唇的闭合等,整齐的牙齿可以改善发音、嘴唇闭合不全的问题,同时还能避免口腔黏膜干燥及增进口腔对感染的抵抗力等。

 
03、清除咬合创伤
牙齿不整齐,在咬合时每个牙齿的力量是不均匀的,时间久了会导致牙齿损坏,使得牙齿更容易过早松动、脱落。而通过牙齿矫正让牙齿排列关系、咬合关系达到正常,能起到对牙齿的良好保护作用。
 
04、提高咀嚼能力
牙齿不齐会造成咀嚼功能低的问题,很多食物无法被充分咀嚼就进入到胃中,这样食物很难被消化,营养吸收也不是很好。牙齿矫正可以改善咬合,从而就提高了咀嚼功能,身体营养的吸收也就更好,有助于身体健康。

 
05、解除咬合干扰
某些错乱的咬合关系会导致颞颌关节的损害,而通过牙齿矫正使咬合关系恢复正常,可以避免这种损害。
 

 
06、维护牙周健康
不整齐的牙齿不容易清洁,易导致牙石沉积,牙龈红肿增生,出现刷牙出血、口臭等。时间长了可能致使牙周病变,如牙龈萎缩、牙齿松动等。而通过牙齿矫正让牙齿排列整齐后可以方便清洁口腔,预防龋齿及牙周病的发生。
 

 
我需要矫牙吗?
 
 
需要矫正的牙齿没有绝对的界限,牙齿畸形主要表现为牙齿不齐、牙齿前突、地包天、牙齿稀疏等等,这些问题影响美观、咬合功能甚至影响面部发育等,具体还需要医生检查后才能决定是否需要矫正。

 
通常情况下,需要矫正的牙齿具有以下特征之一或多个:
 
1、拥挤牙齿
当牙齿数量多于口腔空间时,牙齿就会变得拥挤。这种情况下,牙齿可能会相互重叠或扭曲,导致不整齐的外观和咬合问题。


 
2、错位牙齿
当牙齿在牙槽骨中生长时,可能会出现位置偏差。这种情况下,牙齿可能会错位或旋转,导致不整齐的外观和咬合问题。
 
3、龅牙
龅牙是指上颌前牙向前突出,超过下颌前牙的情况。这种情况下,牙齿可能会导致面部轮廓不美观,同时也会影响咬合功能。


 
4、深覆牙
深覆牙是指上前牙覆盖下前牙过多的情况。这种情况下,可能会导致咬合问题,同时也会影响面部轮廓。
 
小德提醒
 
牙齿矫正是一种非常有效的治疗方法,可以改善牙齿不整齐和咬合问题。然而,并非所有牙齿问题都适合矫正,因此在开始任何治疗之前,应该咨询专业的牙医进行全面的检查和评估。
 


如果您还有其它问题,可以在线咨询德伦口腔专家为您解答相关口腔问题,您也可以拨打全国热线电话 020-83782905 咨询,德伦口腔专家会竭尽所能的帮助您。在线咨询德伦口腔专家>>>
牙齿问题在线咨询 020-8378 2905

网上自助挂号

患者
须知

贯彻国家卫生部新医改政策,严格落实解决挂号难、看病难问题,开展网络自助预约挂号服务。

选择科室*

  • 种植科
  • 正畸科
  • 综合牙科
  • 儿童齿科

选择年龄*

  • 18岁以下
  • 18-30岁
  • 30-50岁
  • 50岁以上

口腔连锁品牌

  • 首页
  • 项目
  • 顶部

专家预约热线:020-8378 2905
本网站信息仅供参考,不能作为诊疗及医疗依据
广州德伦口腔 粤ICP备11073526号