牙齿酸痛主要多见于发生在牙齿牙髓中央的炎症,牙龈含有对疼痛非常敏感的神经末梢。牙髓炎症可能会由蛀牙,创伤和感染引起。这些异常的刺激都会导致神经末梢受到刺激,引起牙齿酸痛的问题。更为严重的情况,会出现剧烈的疼痛。那么,出现牙齿酸痛该怎么办呢?

牙齿酸痛是什么造成的?
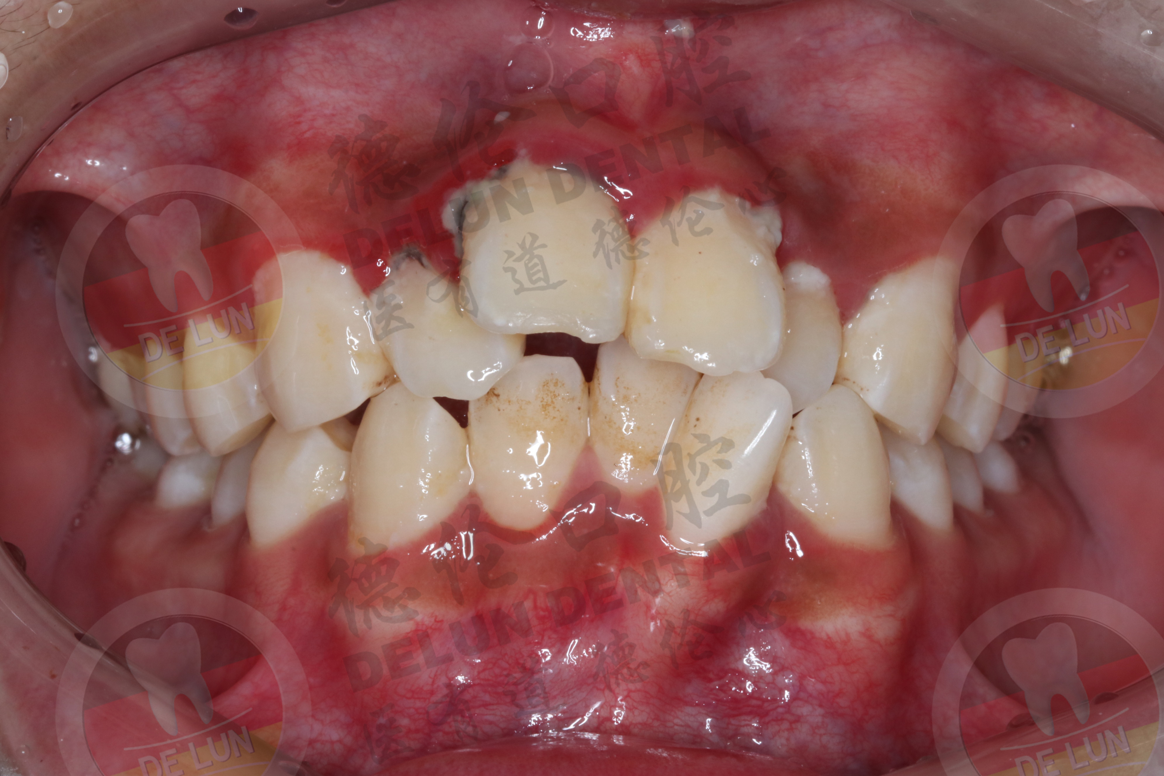
牙齿对于机体来说十分重要,对饮食以及内脏功能都会造成影响。在刷牙和进食时牙齿容易出现酸软的情况,通常是由于有龋齿、牙齿不齐、牙周炎、牙龈萎缩等造成的。
1.龋齿:在日常饮食中没有做到按时刷牙,食物长期累积在牙齿中很容易造成龋齿,龋齿是导致牙齿酸软的常见原因之一。主要是由于牙髓神经暴露容易受到外界刺激,引起牙酸不适。
2.牙齿不齐:在机体发育的过程中,牙齿可能出现不齐的情况,牙齿不齐会对周边牙齿的牙龈造成一定的影响,因此牙齿也会出现酸软的情况。
3.牙周炎:通常牙周炎的患者在早晨刷牙时会出现出血的现象,同时在咀嚼东西时会出现酸痛感,而且牙龈也有红肿的现象。
4.牙龈萎缩:生理性萎缩和病理性萎缩现象都会导致牙齿出现酸软的症状。这主要是由于牙周神经末梢极易受到冷、热等不良物理因素刺激导致的。
牙齿出现酸软症状通常是由于以上几种原因造成的。如果长期食用酸性较强的食物,牙齿也会出现酸软的症状,建议根据病情严重程度采取相应的治疗。
牙齿酸痛该怎么处理和治疗?
如果已经出现了牙齿酸痛的情况,建议采取以下几种方法进行缓解。
1.如果牙齿酸痛是由于牙齿内有蛀牙造成的,建议去医院进行清除、填补。
2.如果是由于牙周炎所导致的牙齿出现酸痛的症状,症状比较轻时建议服用甲硝唑、替硝唑等药物进行治疗,病情严重要及时去医院检查,防止牙齿过早脱落。
3.注意口腔卫生,时刻保持口腔内清洁,选用抗过敏牙膏刷牙,能够对牙齿酸痛的现象起到针对性的保护。
4.同时,在饮食上也要多加注意,避免吃过冷、过热、过甜、过硬的食物,多吃一些新鲜的水果蔬菜,补充维生素,对于治疗牙酸痛有很好的效果。